Periodoncia
Periodoncia: Cuida la salud de tus encías y prevén la pérdida dental
La periodoncia es la especialidad odontológica que diagnostica y trata las enfermedades de las encías, principalmente la gingivitis y la periodontitis. Estas patologías son causantes de inflamación, sangrado, retracción gingival y, en casos avanzados, pérdida de dientes. Un diagnóstico temprano y un tratamiento adecuado son esenciales para preservar la salud bucodental.
En nuestra clínica ofrecemos tratamientos completos de limpieza profunda, raspado y alisado radicular, así como terapias regenerativas para recuperar el tejido perdido. Además, realizamos controles periódicos para evitar recaídas y asegurar una adecuada salud periodontal.
Palabras clave relacionadas: enfermedades de las encías, gingivitis, periodontitis, salud periodontal, tratamiento de encías, mantenimiento periodontal.

Caso tratado: Cirugia plástica periodontal
Os enseñamos este nuevo caso el Dr. Arturo Sánchez Colodro en nuestra clínica dental de Jaén, nos muestra un caso de cirugia plástica periodontal con

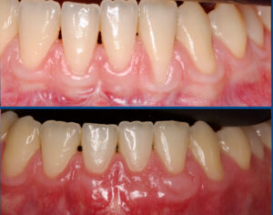
Caso tratado: Recesiones Antero Inferiores
Os enseñamos este nuevo caso el Dr. Arturo Sánchez Colodro en nuestra clínica dental de Jaén, nos muestra un caso donde se puede apreciar con

Caso tratado: Recesiones
Os enseñamos este nuevo caso del tratamiento de recesiones multiples realizado por el Dr. Arturo Sánchez Colodro tratada en nuestra clínica dental de Jaén, con

Recesiones múltiples primer y tercer sextante
Esta vez nuestro doctor Arturo Sánchez Colodro nos muestra este impresionante nuevo caso del tratamiento de recesiones multiples realizado en primer y tercer sextante de la

Caso tratado: Recesiones multiples
Os enseñamos este nuevo caso del tratamiento de recesiones multiples realizado por el Dr. Arturo Sánchez Colodro tratada en nuestra clínica dental de Jaén, con

Caso de éxito de ausencia de encía querantinizada
Compartimos con vosotros el caso de una paciente con ausencia de encía querantinizada sobre implantes de otra clínica. Estas son algunas de las causas de