Características de la Odontología Slow
Tratamientos poco invasivos y de calidad.
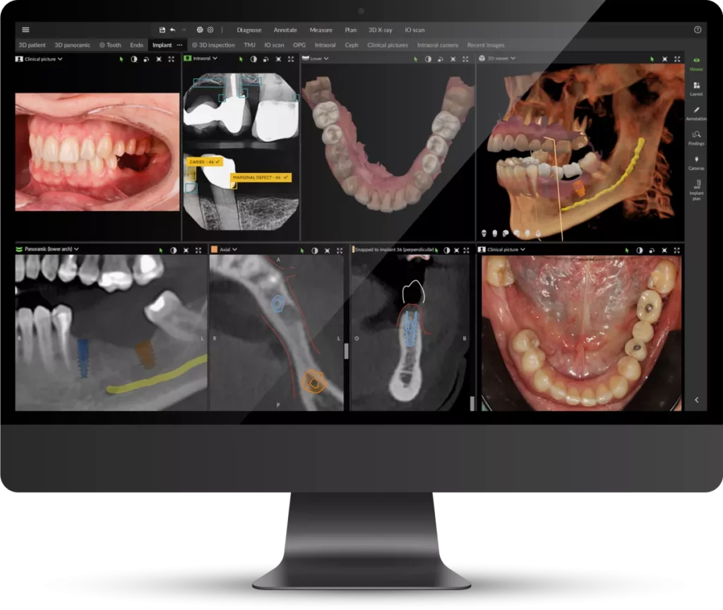
Vemos lo que otros intuyen: diagnóstico 3D para decisiones seguras
Antes de actuar, comprendemos. Utilizamos TAC/CBCT 3D para ver hueso, nervios y estructuras con precisión milimétrica. Esta visión completa nos permite planificar de forma conservadora, reducir molestias y evitar improvisaciones típicas de la odontología tradicional. Resultado: más seguridad, menos visitas y decisiones que cuidan tu salud y tu tiempo.
Encías a salvo: medimos la salud periodontal con precisión clínica
La base de una buena sonrisa son las encías. Con sonda periodontal calibrada/digital realizamos un mapa exacto de bolsas y sangrado para detectar a tiempo la enfermedad periodontal. Esto nos permite intervenir con técnicas mínimamente invasivas y personalizadas, protegiendo dientes y soporte óseo sin prisas ni agresividad.
Adiós a las pastas de impresión;
hola, comodidad inmediata
Nos olvidamos de las pastas incómodas. Con el escáner intraoral obtenemos modelos 3D exactos en segundos. Así logramos prótesis y férulas que encajan mejor, acortamos tiempos y reducimos retrabajos. Una experiencia más limpia, rápida y agradable que la que muchos recuerdan de la odontología de siempre.
Implantes colocados al milímetro, con la mínima molestia
La cirugía guiada por ordenador nos permite colocar implantes con precisión, siguiendo una planificación previa en 3D. Trabajamos con sistemas líderes, lo que se traduce en incisiones más pequeñas, menos inflamación y postoperatorios más llevaderos. Menos riesgo, más control, mejores resultados.
Soluciones en horas, no semanas
Gracias a la impresión 3D en clínica (SprintRay) fabricamos guías quirúrgicas, férulas y provisionales con gran precisión. Esto agiliza los tiempos, reduce citas y te permite volver a tu rutina cuanto antes, sin renunciar a la calidad y a la comodidad que define nuestra filosofía slow.
Limpiezas que no duelen y cuidan el esmalte
Utilizamos AirFlow para eliminar placa y pigmentaciones de forma mínimamente abrasiva. Su chorro controlado con eritritol/glicina ofrece una sensación más suave y respetuosa con el esmalte y las encías. El resultado es una higiene profunda, sin molestias y con una experiencia muy diferente a la limpieza tradicional.
Limpiezas y desinfección avanzada que mima los tejidos
El ozono médico es un aliado potente y conservador. Su efecto antibacteriano nos ayuda en lesiones incipientes, periodoncia y desinfección de cavidades, reduciendo la necesidad de químicos y favoreciendo la cicatrización. Tratamos más y agredimos menos, tal y como creemos que debe ser.
Tu tratamiento avanza mientras sigues con tu vida
En ortodoncia y seguimiento de tratamientos usamos monitorización remota con IA. Con tu móvil registras el avance y el equipo ajusta a distancia cuando hace falta. Menos desplazamientos, más puntualidad en las decisiones y un camino más cómodo hacia tu mejor sonrisa.
Publicado en Alejandro Gutiérrez Cardona23/02/2024 Ya he acabado mi tratamiento de invisalign, y ha ido todo genial! Siempre que he tenido algún percance me han atendido en el mismo día y me han ofrecido todo lo necesario. Todos muy profesionales.Publicado en Cristina Partal Escabias23/02/2024 Acabo de iniciar un tratamiento con ellos, buscaba una solución a mi problema que no me daban en otro sitio, de la primera consulta no pude salir más contenta e ilusionada y se que en las siguientes va a ser igual, el trato que tienen con el paciente, la familiaridad, la y la profesionalidad son una maravilla. Recomiendo esta clínica 100%Publicado en Vane Vílchez19/02/2024 He tenido que ir a una consulta de urgencia puesto que mi dentista está de vacaciones y me han atendido de 10 viniendo de otro dentista. Instalaciones nuevas, buen ambiente y sus trabajadoras muy simpáticas y agradables, sin duda volvería a repetir otra vez.Publicado en Jose anguita jimenez16/02/2024 Alucinante , el trabajo y la profesionalidad de toda la clínica dental , os recomiendo poneros en manos de estos profesional y expertos en ortodoncia , cirugía y estética dental , un abrazo a tod@sPublicado en Trini Alvarez Navarro09/02/2024 Buenos profesionales y muy atentos con los pacientes 🥰Publicado en Leticia Martinez08/02/2024 Súper agradables los chicos que me han atendido tanto el de recepción como la dentista, trato inmejorable poca espera, en general todo muy bien.Publicado en Dario Chica Ramiro19/01/2024 Yo me he realizado un tratamiento de implante guiado y estoy súper contento con el resultado. Son unos excelentes profesionales, trato magnífico y calidad humana.
Reserva tu consulta de valoración y descubre por qué la Odontología Slow de Clínica Colodro es una experiencia distinta desde el primer minuto.
Dr. Arturo Sánchez Colodro y equipo.
Recupera la calma al cuidar tu sonrisa
"*" señala los campos obligatorios
Por teléfono
En la clínica
Av. del Ejército Español, 6, 23007 Jaén
Por correo