Ortodoncia invisible
Ortodoncia Invisible: Corrige tu sonrisa sin renunciar a la estética
La ortodoncia invisible ha revolucionado el mundo de la ortodoncia al ofrecer un tratamiento eficaz para corregir problemas de alineación dental sin el uso de brackets metálicos tradicionales. Gracias a férulas transparentes hechas a medida, es posible mejorar la posición de tus dientes con comodidad y discreción.
Este método es especialmente popular entre adultos y adolescentes que buscan una solución estética sin que afecte su imagen profesional o personal. La ortodoncia invisible permite una higiene bucal óptima durante el tratamiento, ya que las férulas son removibles, facilitando la limpieza de dientes y encías.
Palabras clave relacionadas: alineadores dentales, férulas transparentes, tratamiento ortodóncico estético, corrección de mordida, dientes torcidos, brackets invisibles.

Innovación en ortodoncia invisible: Éxito Clínico con DentalMonitoring
Innovación en ortodoncia invisible: Éxito Clínico con DentalMonitoring Transformando Sonrisas con Tecnología Innovadora: El Caso de la Dra. Eva Martos La Dra. Eva Martos ha

Ortodoncia Invisible con Tecnología Avanzada: Éxito Clínico en Colaboración Multidisciplinaria
Ortodoncia Invisible con Tecnología Avanzada: Éxito Clínico en Colaboración Multidisciplinaria La Dra. Eva Martos ha liderado un caso clínico de manera exitosa gracias a la

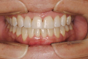
Caso tratado: ortodoncia Invisible en paciente periodontal
Os enseñamos este nuevo caso del tratamiento de ortodoncia sobre un paciente periodontal realizado por parte de la Dra. Eva Martos en la Clínica Dental

Caso tratado: ortodoncia invisible y rehabilitado con carillas estéticas de composite en incisivos laterales
Os enseñamos este nuevo caso del tratamiento de ortodoncia invisible y rehabilitado con carillas estéticas de composite en incisivos laterales tratado por las doctoras Eva