Periodoncia
Periodoncia: Cuida la salud de tus encías y prevén la pérdida dental
La periodoncia es la especialidad odontológica que diagnostica y trata las enfermedades de las encías, principalmente la gingivitis y la periodontitis. Estas patologías son causantes de inflamación, sangrado, retracción gingival y, en casos avanzados, pérdida de dientes. Un diagnóstico temprano y un tratamiento adecuado son esenciales para preservar la salud bucodental.
En nuestra clínica ofrecemos tratamientos completos de limpieza profunda, raspado y alisado radicular, así como terapias regenerativas para recuperar el tejido perdido. Además, realizamos controles periódicos para evitar recaídas y asegurar una adecuada salud periodontal.
Palabras clave relacionadas: enfermedades de las encías, gingivitis, periodontitis, salud periodontal, tratamiento de encías, mantenimiento periodontal.

Tratamiento de Encías en Jaén: Cuida tu Salud Bucal con Atención Especializada
Cuidado Especializado para tus Encías en Jaén Explorando el Tratamiento de Encías en Jaén El tratamiento de encías en Jaén es una parte crucial de

Transformación Dental: Cirugía Mucogingival con Técnicas Avanzadas en Clínica Colodro
En Clínica Colodro, nos enorgullece destacar la eficacia de la odontología avanzada para mejorar la salud bucal y renovar sonrisas. En este artículo, presentamos un

Técnica de Cirugía Mucogingival: Restaurando Sonrisas y Salud Bucal en Clínica Colodro
Clínica Colodro ha sido reconocida por su destacado caso de éxito en cirugía mucogingival, una intervención que va más allá de un simple procedimiento para

Cirugía Mucogingival en Clínica Colodro Jaén
Cirugía Mucogingival en Clínica Colodro Jaén En la Clínica Dental Colodro, nos enorgullece ofrecer soluciones de vanguardia en odontología, y hoy queremos compartir emocionantes noticias

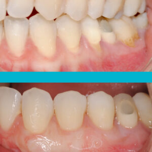
Caso tratado: Recesiones Múltiples
Os enseñamos este nuevo caso realizado por nuestro equipo de la Clínica Dental. El Dr. Arturo Sánchez Colodro a cargo de la cirugías, la Dra.

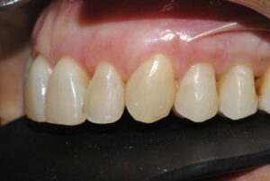
Caso tratado: cobertura radicular con injerto de tejido conectivo
Os enseñamos este nuevo caso del tratamiento mucogingival realizando una cobertura radicular con injerto de tejido conectivo en técnica de túnel para impedir el avance