En Clínica Colodro, nos enorgullece destacar la eficacia de la odontología avanzada para mejorar la salud bucal y renovar sonrisas. En este artículo, presentamos un caso clínico notable de cirugía mucogingival, donde aplicamos técnicas avanzadas SLOW y biomateriales innovadores para lograr resultados excepcionales.
El Caso Clínico: Cirugía Mucogingival
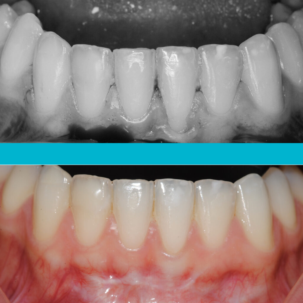
Nuestro paciente presentaba una recesión gingival significativa, lo que afectaba tanto la estética como la salud bucal. Para abordar este problema, decidimos realizar una cirugía mucogingival utilizando técnicas avanzadas y biomateriales de última generación.
Técnicas Avanzadas SLOW
La cirugía mucogingival se realizó utilizando el enfoque SLOW, que combina técnicas de ortodoncia y periodoncia para lograr resultados óptimos. Este enfoque permite una corrección precisa de la recesión gingival y una mejor integración estética con la sonrisa del paciente.
Biomateriales Innovadores
Durante la cirugía, utilizamos biomateriales innovadores que promueven la regeneración de tejidos y optimizan los resultados a largo plazo. Estos materiales son seguros, biocompatibles y ofrecen una excelente estabilidad y resistencia.
Consulta el Progreso Seis Meses Después
Después de seis meses de seguimiento postoperatorio, el progreso del paciente es impresionante. En nuestra galería de imágenes, puedes ver la notable mejora en la salud gingival y la estética de su sonrisa. Este caso clínico ejemplifica el impacto positivo que la odontología avanzada puede tener en la vida de nuestros pacientes.
Recordatorio Importante: Salud Gingival para una Sonrisa Duradera
Queremos recordar la importancia de mantener la salud gingival para una sonrisa vibrante y duradera. Como mencionamos anteriormente, «si no hay encía para nutrir nuestros dientes, tampoco habrá encía para nutrir nuestros implantes». Es fundamental cuidar la salud de las encías para preservar la salud bucal en general.
¿Tienes Preguntas o Deseas Mejorar tu Sonrisa?
Si tienes preguntas sobre la cirugía mucogingival o deseas mejorar tu sonrisa, no dudes en contactarnos para agendar una consulta hoy mismo. Nuestro equipo de profesionales altamente calificados está aquí para ayudarte a alcanzar tus objetivos de salud bucal y estética dental. En Clínica Colodro, estamos comprometidos con tu bienestar y tu sonrisa.
