Cada vez son más los casos de recesión de encía que solucionamos de forma satisfactoria en nuestra clínica dental de Jaén. Se trata de esas pérdidas de tejido en la encía que dejan al descubierto mucha más superficie del diente de lo normal, en ocasiones, hasta la raíz.
El problema suele ir agravándose y la recesión comienza a ser mayor pudiendo terminar con la pérdida de la pieza dental.
Por supuesto, y que no os confundan, esto no se soluciona «dejando de cepillarse tan fuertemente los dientes».
La solución es un sencillo injerto de tejido mínimamente invasivo que podemos denominar de forma más técnica «CIRUGÍA MUCOGINGIVAL CON INJERTO TEJIDO CONECTIVO PARA RECESIONES».
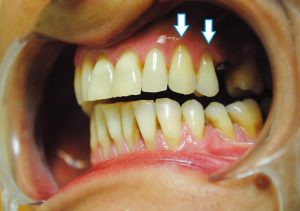
Os mostramos uno de los casos tratados recientemente en nuestra clínica dental. Esta es la imagen que presentaba la boca de nuestro paciente antes de comenzar con los tratamientos:

Se observan en la imagen, indicadas con flechas, dos recesiones de encía en el segundo cuadrante, además de la ausencia de una pieza que se solucionó también con implante dental unitario de carga inmediata.
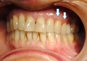
Ejecutados los tratamientos en la parte superior izquierda de la boca (es la parte por la que se ha empezado el tratamiento), este es el aspecto de esta parte de la boca tras el implante y la cirugía mucogingival que solucionó la recesión de encía dotándola de nuevo volumen:

Si notas alguna pérdida de tejido similar y quieres que te ayudemos o te surge cualquier duda, contacta con nosotros en el 953 263 608.