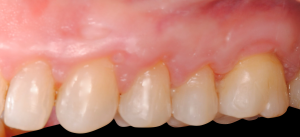
Esta vez nuestro doctor Arturo Sánchez Colodro nos muestra este impresionante nuevo caso del tratamiento de recesiones multiples realizado en primer y tercer sextante de la boca del paciente, aplicando la última y más avanzada tecnología. Os dejamos el resultado final y después las imágenes del proceso.


Exploración inicial:

Causas:
- Cepillado excesivo
- Tracción de frenillo o músculos
- Causas anatómicas
- Sobrecarga oclusal
- Mal oclusiones
- Procesos inflamatorios
- Traumatismos-piercing
- Higiene bucal insuficiente
- Ortodoncia
- Restauraciones subgingivales
Objetivos:
- Estética dental
- Motivo de consulta
- Estética facial
- Salud periodontal
- Salud articular
- Estabilidad oclusal
Objetivos periodontales:
- Cobertura radicular en recesiones multiples
- Mejora de la sensibilidad
- Estabilidad periodontal mejorando el biotipo gingival
Plan de tratamiento:
Profilaxis mediante airflow y descontaminación periodontal.
Ajustes oclusales
Restablecer Lac (límite amelo cementario)
ITC (Injerto tejido conectivo libre desepitelizado de paladar) + tunelización
Fotografías del proceso:




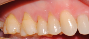
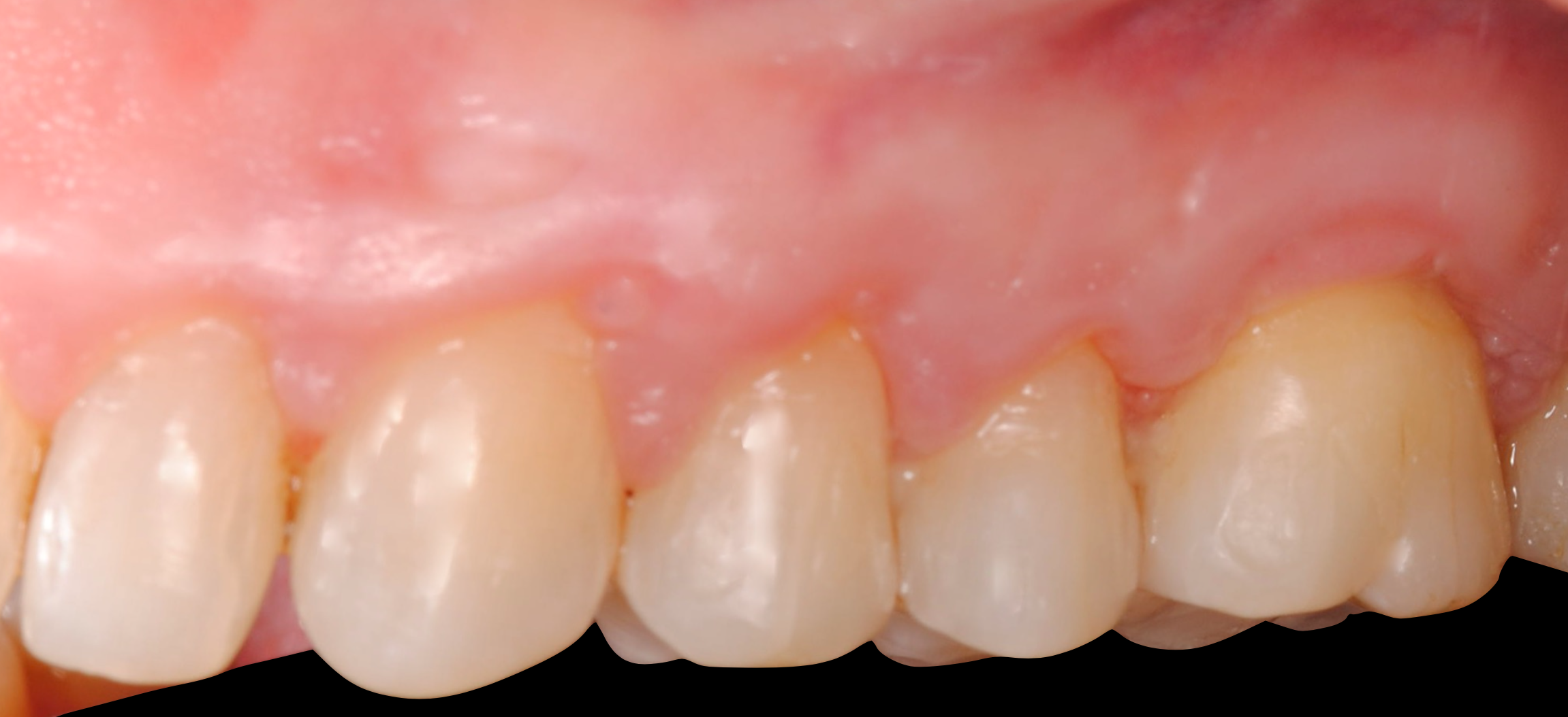
Exploración intraoral inicial segundo sextante:

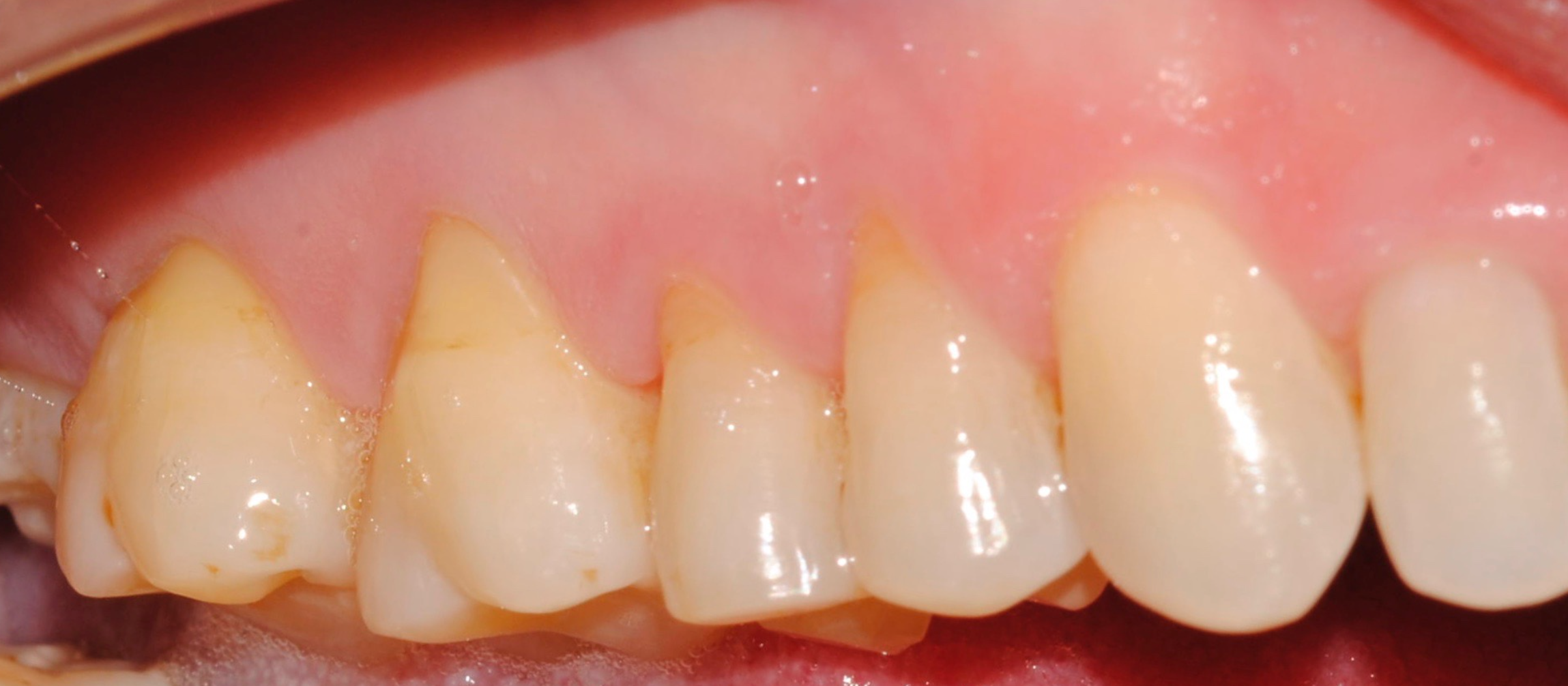
Cirugía segundo sextante:

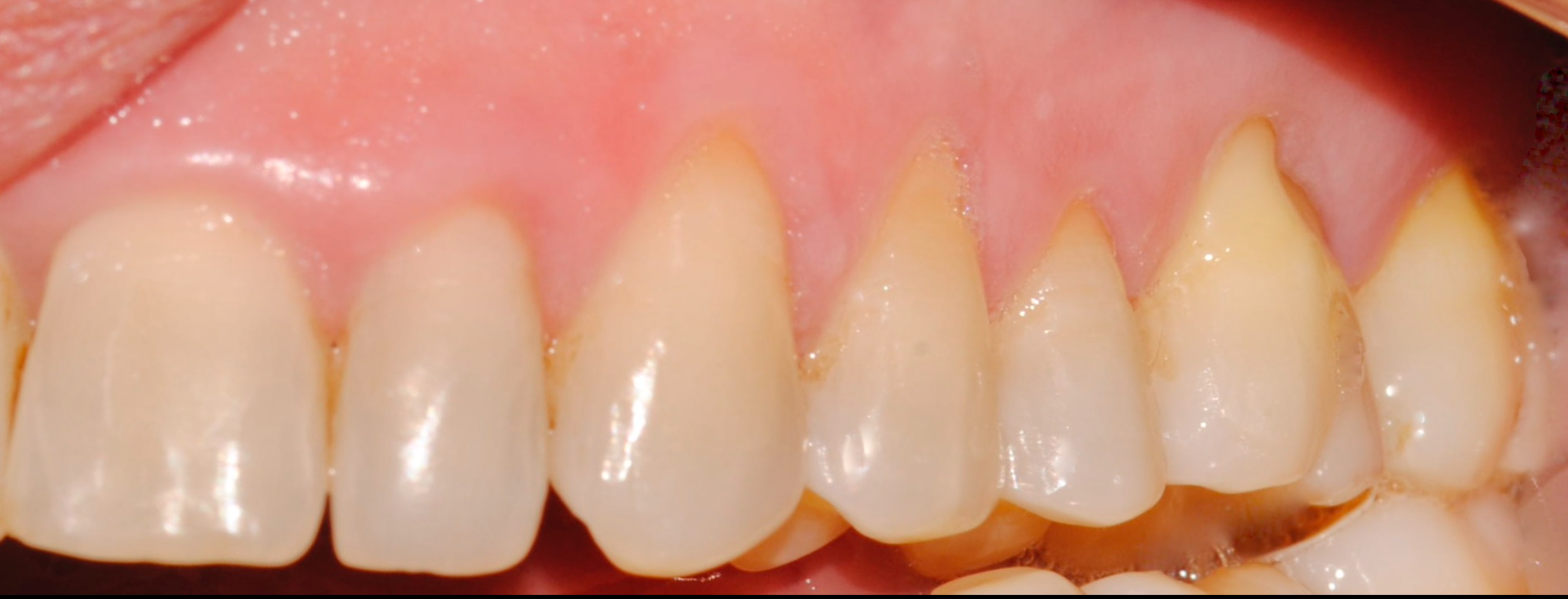
Revisión 4º Mes, segundo cuadrante:

El proceso de este caso se ha realizado en nuestra Clínica Dental de Jaén, para cualquier consulta o información recuerda que puedes contactar con nosotros o pasarte por nuestra clínica dental, os atenderemos encantados.