Os enseñamos este nuevo caso del tratamiento de recesiones multiples realizado por el Dr. Arturo Sánchez Colodro tratada en nuestra clínica dental de Jaén, con la última y más avanzada tecnología del mercado.
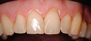
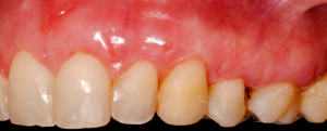
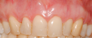
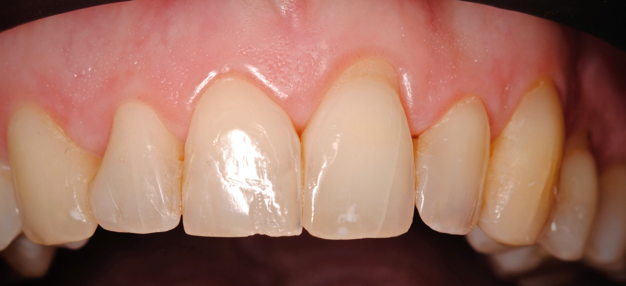
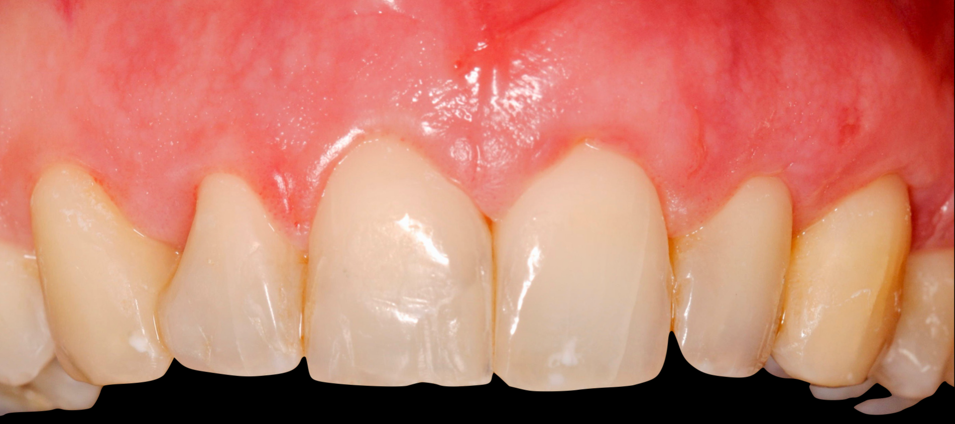
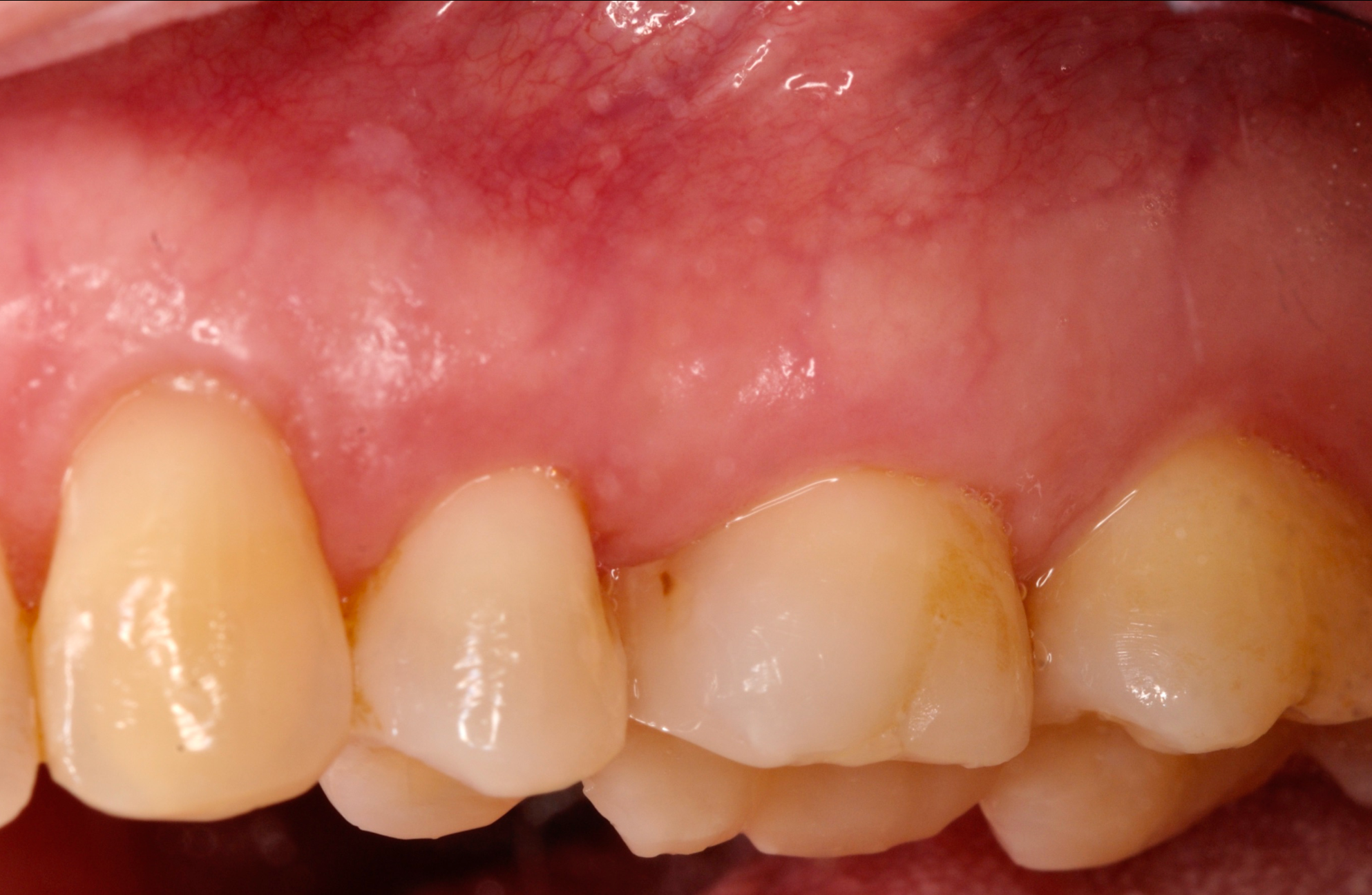
Exploración intraoral inicial:
Causas:
- Cepillado excesivo
- Tracción de frenillo o músculos
- Causas anatómicas
- Sobrecarga oclusal
- Mal oclusiones
- Procesos inflamatorios
- Traumatismos-piercing
- Higiene bucal insuficiente
- Ortodoncia
- Restauraciones subgingivales
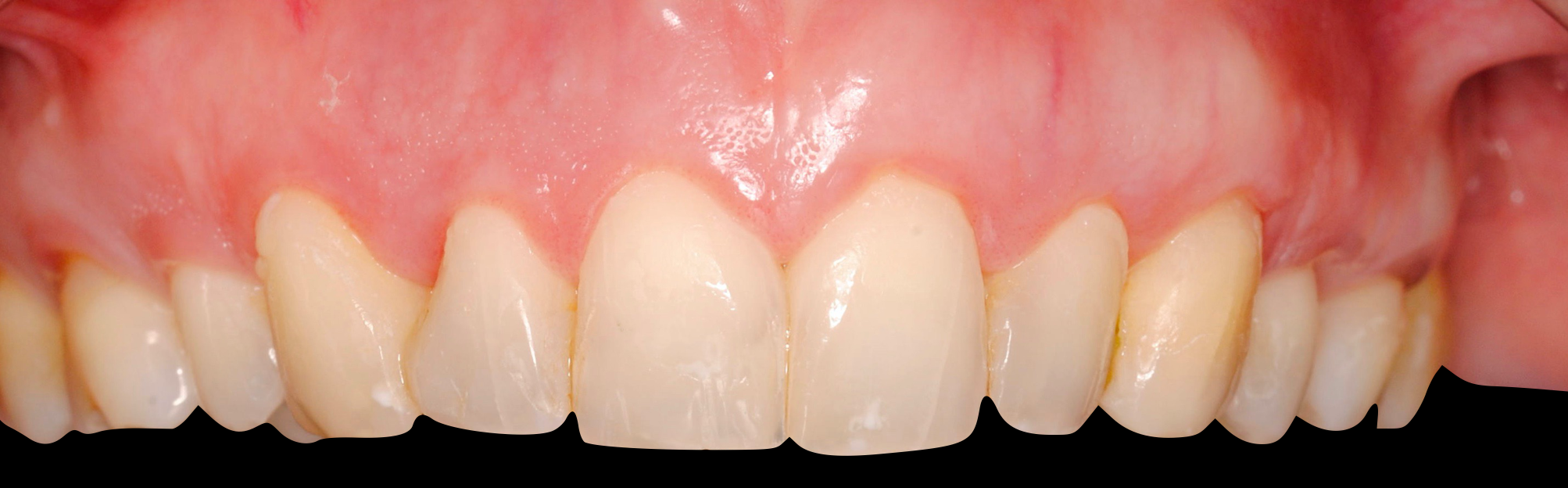
Objetivos:
- Estética dental
- Motivo de consulta
- Estética facial
- Salud periodontal
- Salud articular
- Estabilidad oclusal
Objetivos periodontales:
- Cobertura radicular en recesiones multiples
- Mejora de la sensibilidad
- Estabilidad periodontal mejorando el biotipo gingival
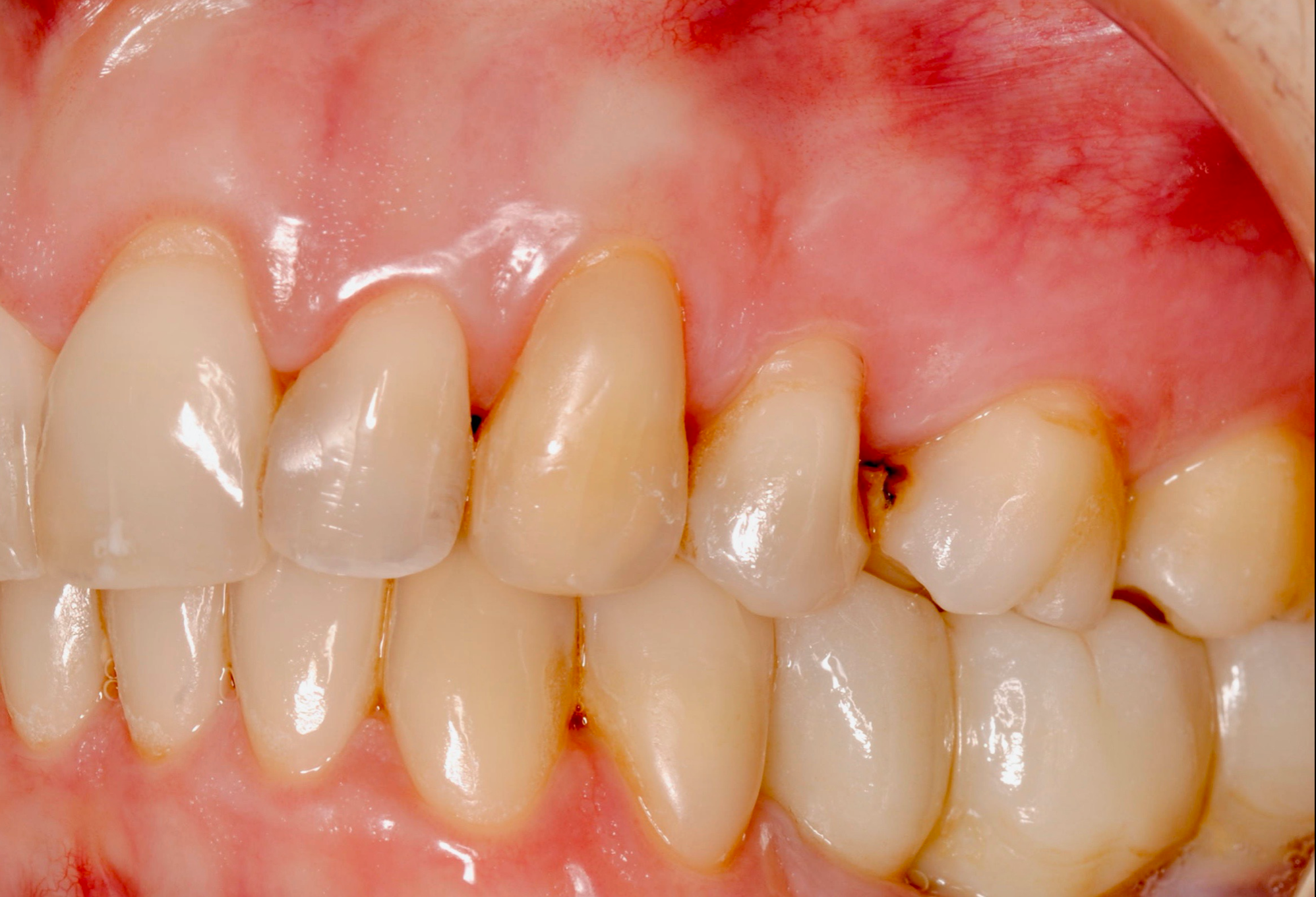
Plan de tratamiento:
-
Profilaxis mediante airflow y descontaminación periodontal.
-
Ajustes oclusales
-
Restablecer Lac (límite amelo cementario)
-
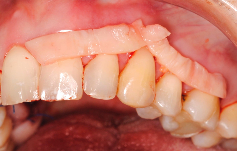
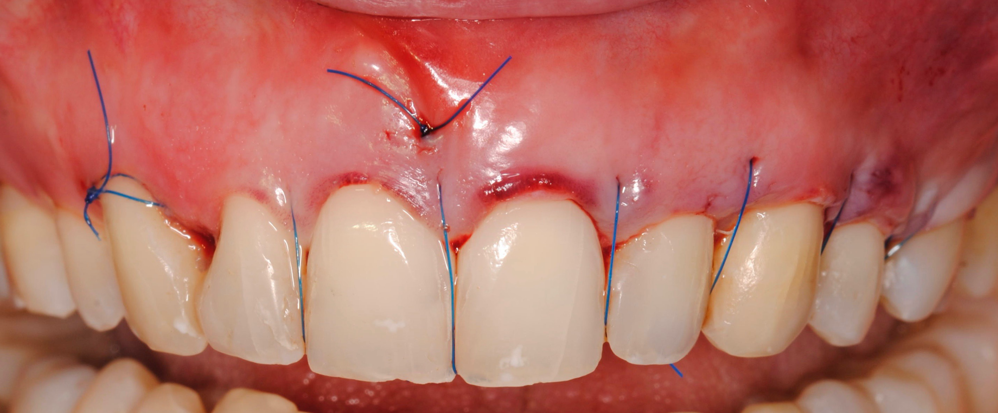
ITC (Injerto tejido conectivo libre desepitelizado de paladar) + tunelización
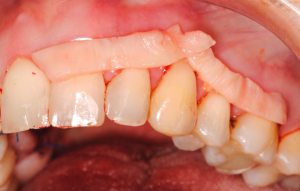
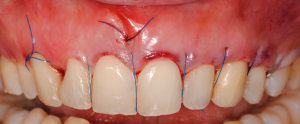
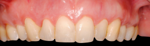
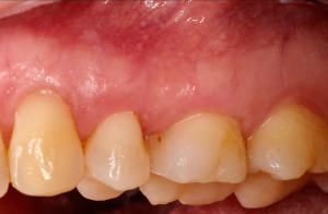
Fotografías del proceso:
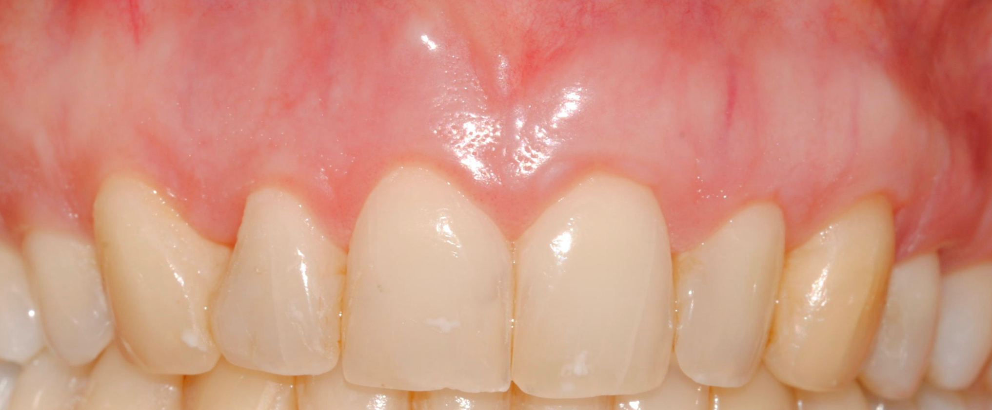
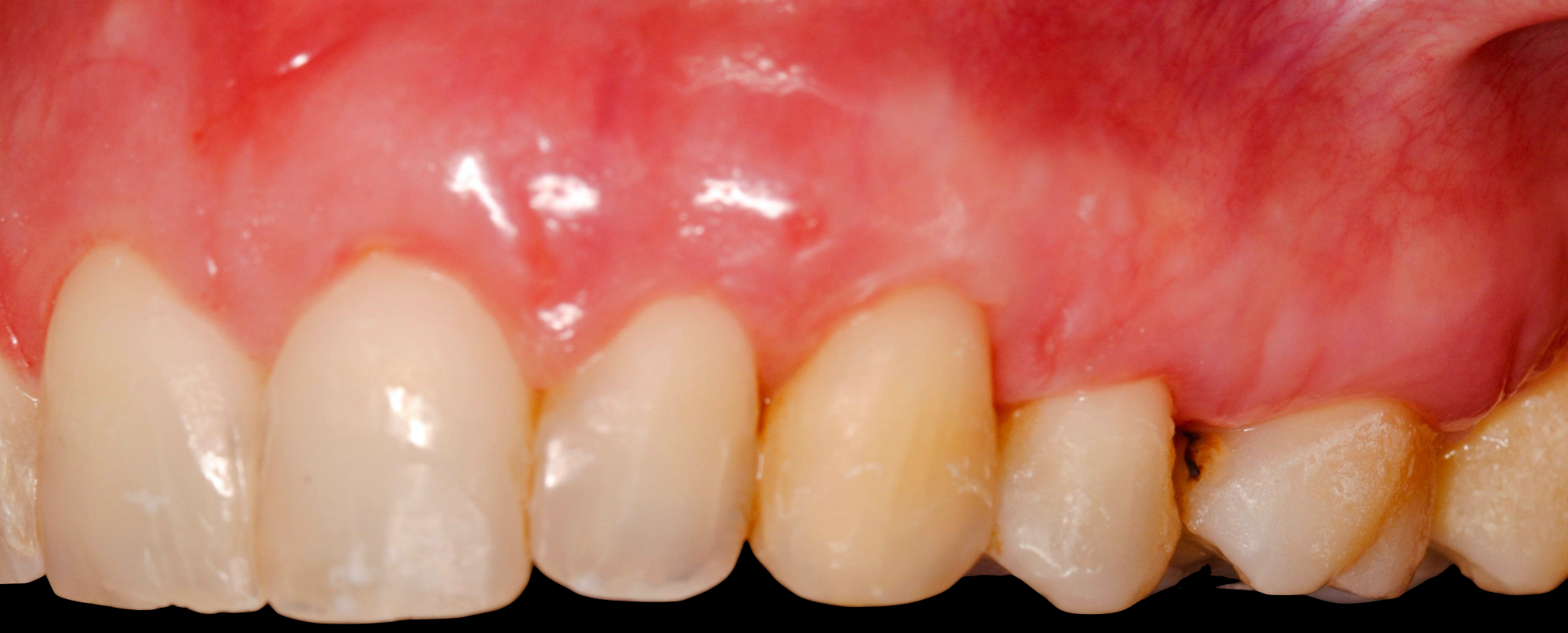
Revisión 30 días:
Revisión 60 días:
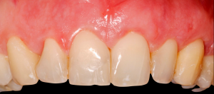
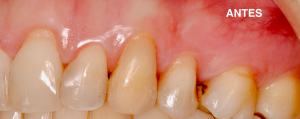
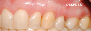
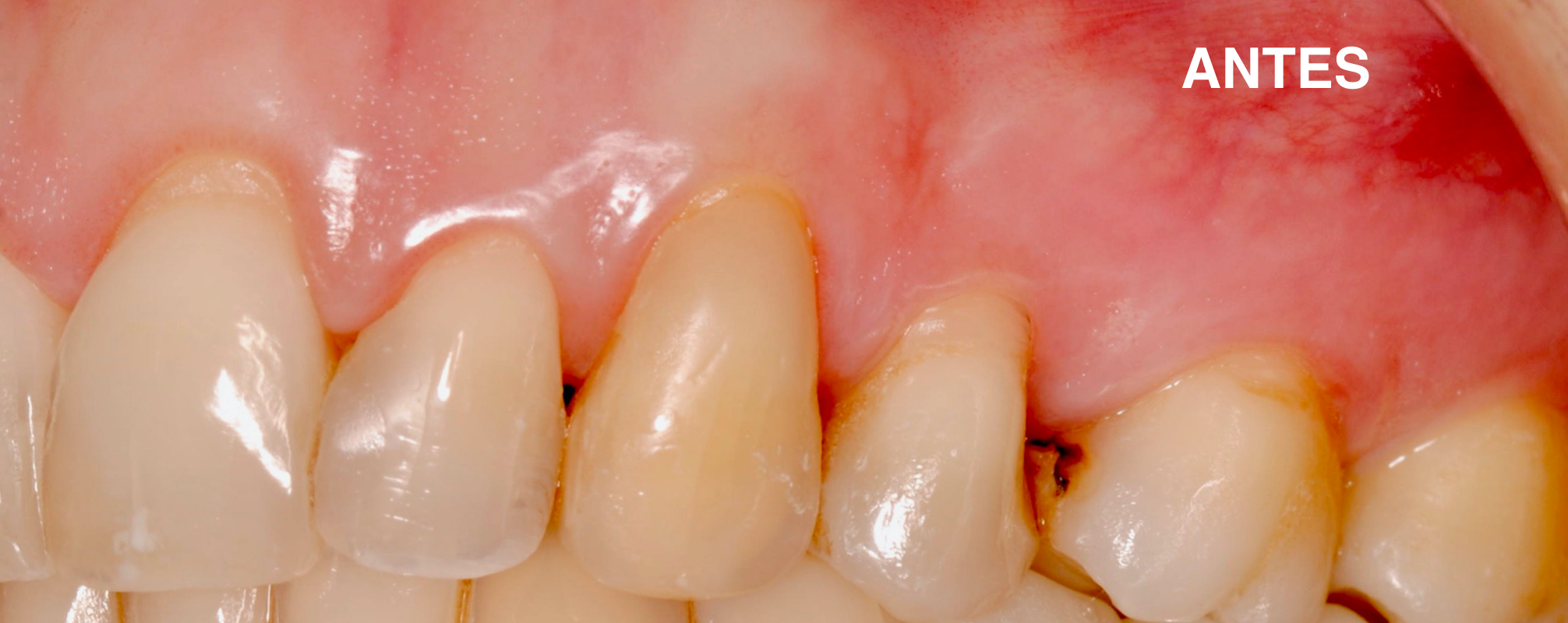
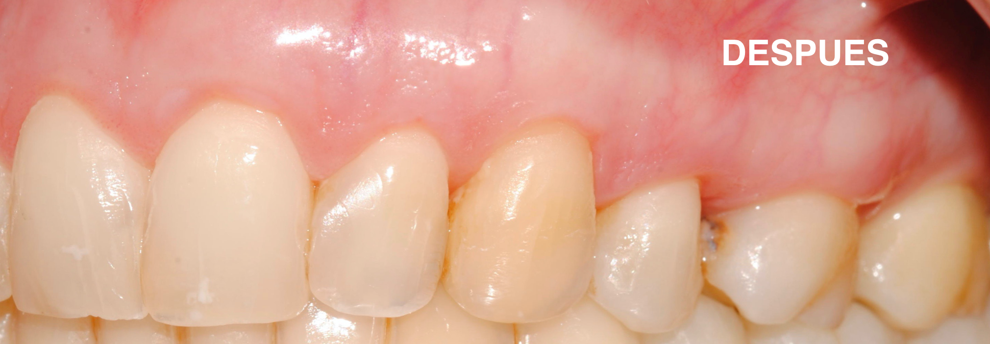
Antes y Después:
Revisión 90 días:
Revisión del año:












