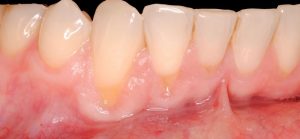
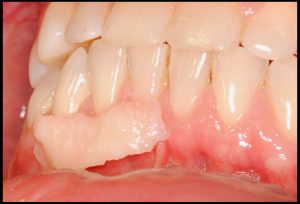
Compartimos con vosotros un nuevo caso de recesiones múltiples de encías, solucionado con éxito en nuestro centro de salud y estética dental.
Exploración inicial:
Causas:
- Cepillado excesivo
- Tracción de frenillo o músculos
- Causa anatómicas
- Sobrecarga oclusal
- Mal oclusiones
- Procesos inflamatorios
- Traumatismos-piercing
- Higiene bucal insuficiente
- Ortodoncia
- Restauraciones subgingivales
Listado de objetivos perseguidos:
- Estética facial
- Salud periodontal
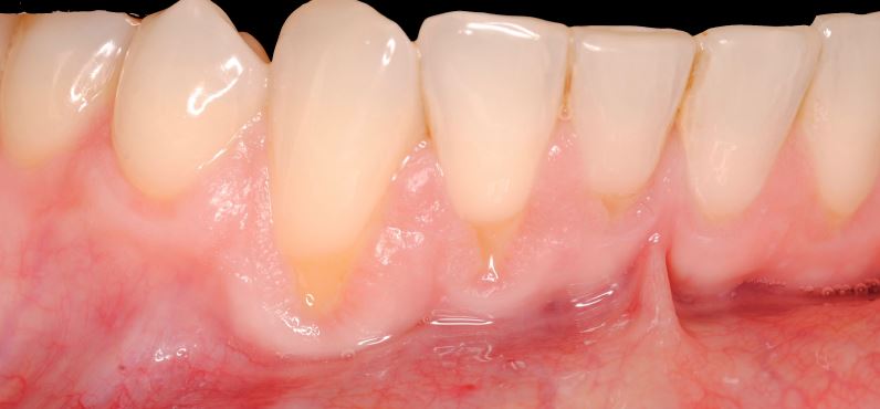
- Cobertura radicular en recesiones múltiples
- Estabilidad periodontal mejorando el biotipo gingival
- Mejora de sensibilidad
- Salud articular
- Estabilidad oclusal
- Estética dental
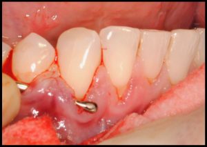
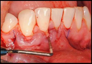
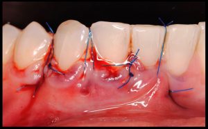
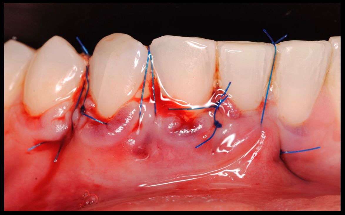
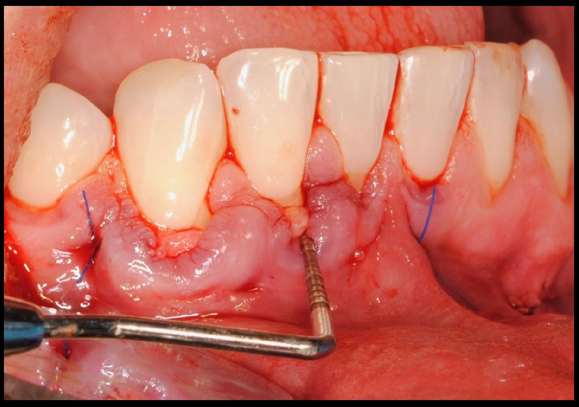
Objetivos periodontales: Mediante ingerto de tejido conectivo subepitelial de paladar con técnica de tunelización.
- Cobertura radicular en recesiones múltiples
- Estabilidad periodontal mejorando el biotipo gingival
- Mejora sensibilidad
Plan de Tratamiento:
- Profilaxis con Air-Flow y descontaminación periodontal
- Ajustes oclusales
- Restablecer el LAC (límitite amelo cementario)
- Injerto de tejido conectivo libre desepitelizado de paladar + Tunelización
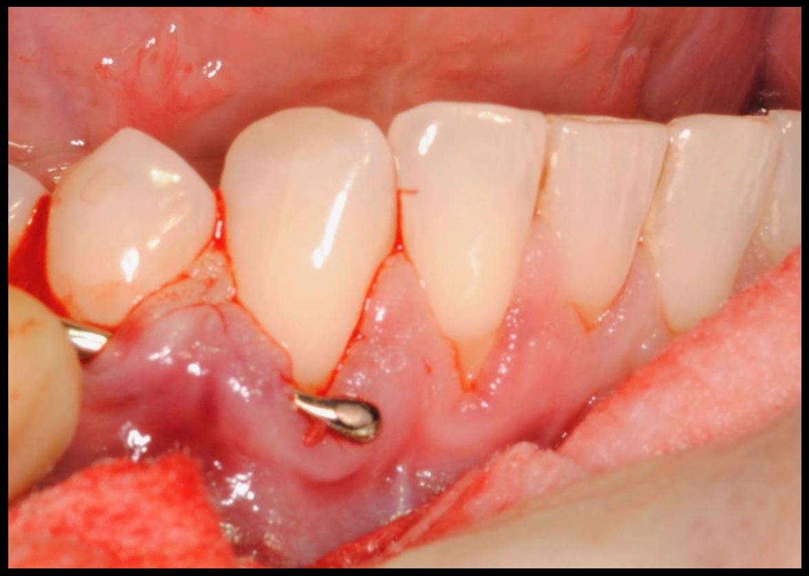
Fotografías del proceso:










