Cirugía Mucogingival en Clínica Colodro Jaén
En la Clínica Dental Colodro, nos enorgullece ofrecer soluciones de vanguardia en odontología, y hoy queremos compartir emocionantes noticias sobre un caso de cirugía mucogingival que está experimentando una transformación notable. A lo largo de este proceso, nuestro compromiso con la excelencia y el cuidado personalizado ha sido evidente, y estamos emocionados de destacar los resultados positivos que hemos logrado para nuestro paciente.
Cirugía mucogingival con injerto de tejido conectivo


En la Clínica Dental Colodro, estamos comprometidos en brindar soluciones de vanguardia en odontología, y hoy queremos compartir una emocionante actualización sobre un caso de cirugía mucogingival que está en pleno proceso de transformación.
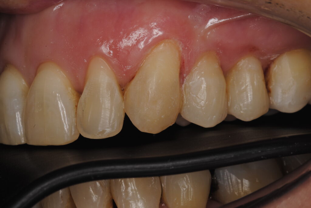
El Caso: Hace aproximadamente 5 meses, uno de nuestros pacientes se sometió a una cirugía mucogingival con injerto de tejido conectivo para abordar preocupaciones relacionadas con la recesión de las encías y mejorar la estética de su sonrisa. Esta técnica se utiliza para corregir defectos en la encía y lograr una línea de las encías más armoniosa.
El Proceso: El equipo de la Clínica Dental Colodro, liderado por nuestro experimentado profesional, llevó a cabo la cirugía mucogingival con precisión. Durante la cirugía, se tomó un injerto de tejido conectivo de una zona donante, generalmente del paladar, y se colocó en la zona afectada. El injerto se suturó cuidadosamente en su lugar para estimular la regeneración del tejido.
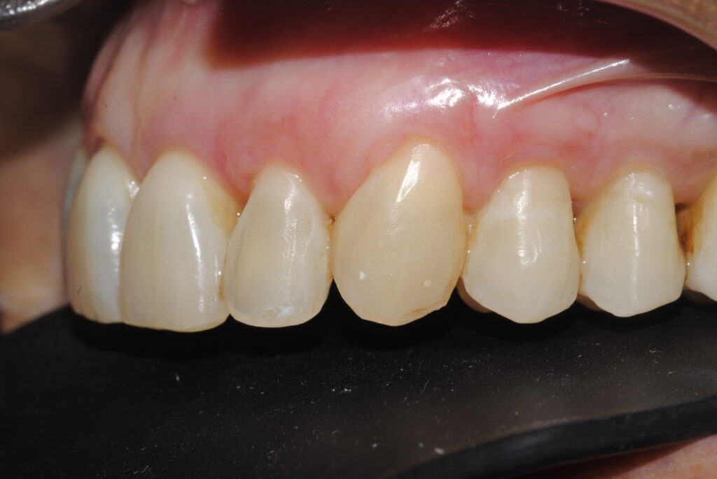
La Revisión a los 5 Meses: Hoy, estamos encantados de compartir los resultados de la revisión a los 5 meses de la cirugía. La zona tratada ha mostrado una notable mejoría en la apariencia y salud de las encías. La recesión gingival se ha corregido significativamente, y la sonrisa del paciente luce más armoniosa y saludable.
El Paciente: Nuestro paciente está encantado con los resultados y ha experimentado un aumento en la confianza en sí mismo gracias a la transformación de su sonrisa. Está agradecido por la atención experta y el cuidado proporcionados por el equipo de la Clínica Dental Colodro.
Conclusiones
En la Clínica Dental Colodro, estamos dedicados a proporcionar soluciones innovadoras y resultados excepcionales en odontología. Este caso de cirugía mucogingival es un ejemplo vívido de nuestro compromiso con la excelencia y el cuidado centrado en el paciente. Estamos encantados de ver cómo la sonrisa de nuestro paciente ha experimentado una transformación notable, y esperamos continuar brindando atención de la más alta calidad a todos nuestros pacientes.