Os enseñamos este nuevo caso realizado por nuestro equipo de la Clínica Dental. El Dr. Arturo Sánchez Colodro a cargo de la cirugías, la Dra. Eva Martos a cargo de la ortodoncia y el tratamiento blanqueamiento realizado por la Dra. Aurora alférez.
Se muestra un caso en el que se puede apreciar con mucha claridad el antes y después de un caso de recesiones múltiples, Ortodoncia Acelerada a través de Corticotomías y Reconstrucción Alveolar. Este caso ha sido tratado con la última y más avanzada tecnología en digitalización dental junto con todo el esfuerzo y dedicación de nuestro equipo.
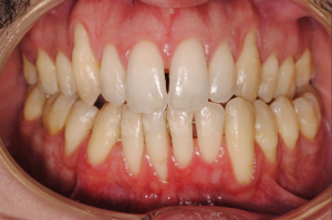
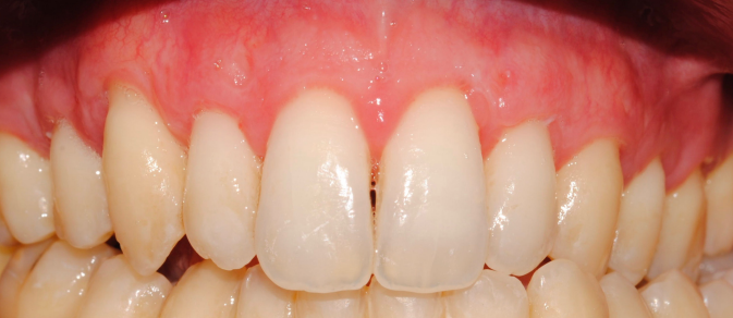
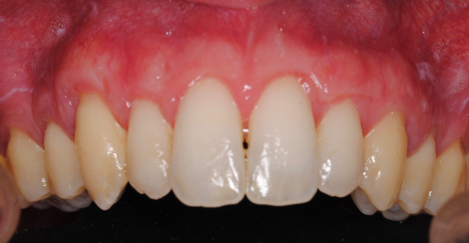
Exploración intraoral inicial:

Causas:
- Causas anatómicas
- Sobrecarga oclusal
- Cepillado excesivo
- Mal oclusiones
- Restauraciones subgingivales
- Ortodoncia
- Higiene bucal insuficiente
- Traumatismos (Piercing)
- Procesos Inflamatorios
- Tracción de frenillo o músculos
Objetivos:
- Estética facial
- Motivo de consulta
- Salud Periodontal
- Salud articular
- Estabilidad oclusal
- Estética Dental
Objetivos periodontales:
- Cobertura radicular en recesiónes múltiples
- Mejora de la estética y evitar caries radiculares
- Estabilidad periodontal mejorando el biotipo gingival
Plan de tratamiento:
- Profilaxis Airflow y descontaminación periodontal
- Ajustes oclusales
- Restablecer LAC (limite amelo centenario)
- ITC (Injerto tejido conectivo libre desepitelizado del paladar )+ tunelización para colocación MB Mucogain
- A los 6 meses realizamos en el mismo tratamiento de recontrucción alveolar y ortodoncia acelerada con corticotomias asociada A R.O.G y tracción con miniplacas y microtornillos.
- En sextantes inferiores haremos cirugía plástica mucogingival tras tratamiento de ortodoncia y lingualización piezza 33 para insertar esta pieza dentro del marco óseo y ser más predecible en los resultados de cobertura radicular y aumento de volmen de tejidos blandos así como una mejora en el patrón oclusal del paciente.
- Mantenimiento periodontal exhaustivo del paciente de forma permanente para control de placas y sangrado y evitar prematuridades en oclusión . futura férula de descarga.
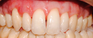
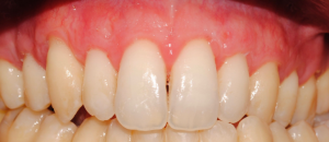
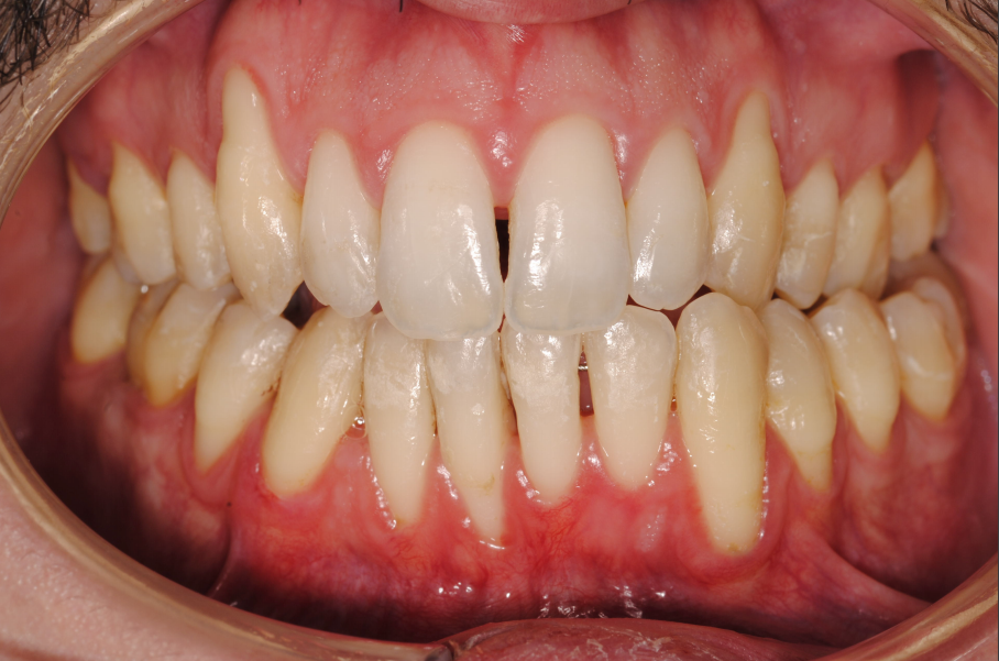
Fotografías del proceso:





Revisión 30 días:

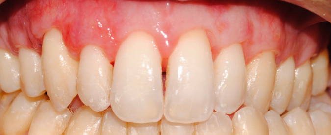
Revisión 60 días:

Revisión 5º mes:

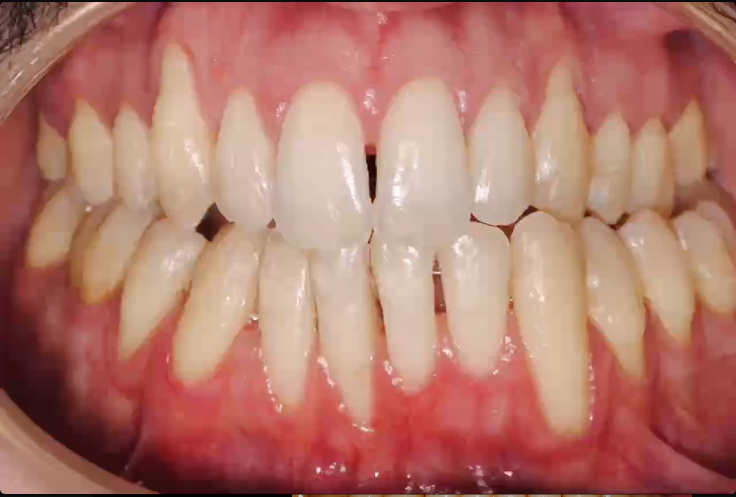
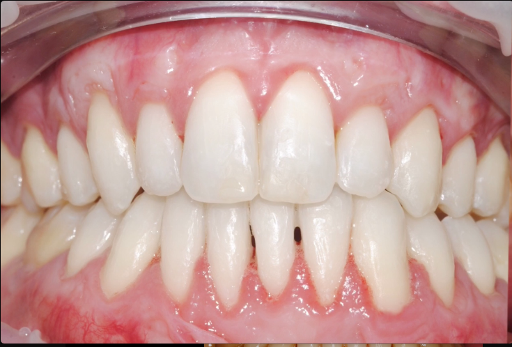
Resultado del tratamiento:
ANTES:

DESPUÉS
