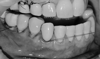
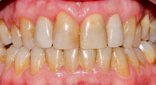
Os enseñamos este nuevo caso el Dr. Arturo Sánchez Colodro en nuestra clínica dental de Jaén, nos muestra un caso de cirugia plástica periodontal con injerto de tejido conectivo subepitelial en recesiones inferiores en paciente con sensibilidad y recesión de las encías de los dientes inferiores por trauma oclusal y cepillado inadecuado. Este caso ha sido tratado con la última y más avanzada tecnología en digitalización dental. Mostramos el resultado después de la operación realizada, el resultado en la revisión un año después y la comparativa del antes y después.
Exploración inicial:

Proceso del tratamiento:



Revisión al año:

Resultado final (antes-después):
