Clínica Colodro ha sido reconocida por su destacado caso de éxito en cirugía mucogingival, una intervención que va más allá de un simple procedimiento para convertirse en una obra de arte en la salud bucal. Nuestro enfoque se centra en utilizar técnicas avanzadas y biomateriales dentales de última generación para abordar recesiones o retracciones de encía de manera efectiva.
Un Enfoque Innovador en Cirugía Mucogingival
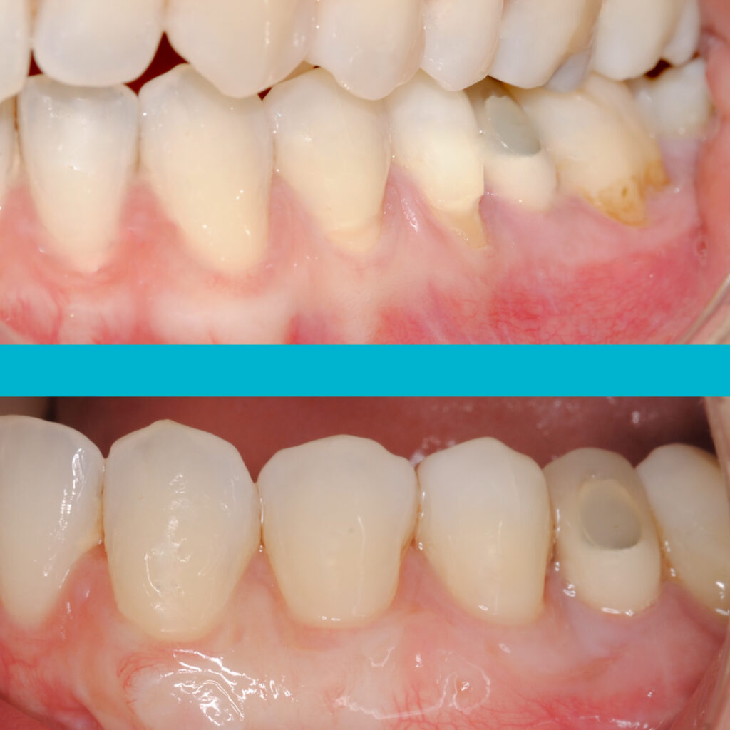
Uno de nuestros casos emblemáticos involucró a un paciente con recesión gingival severa, que no solo afectaba la estética de su sonrisa, sino también su salud oral. Utilizando nuestro enfoque especializado en cirugía plástica periodontal con técnicas SLOW, pudimos diseñar un plan de tratamiento personalizado para abordar sus necesidades específicas.
Técnicas SLOW: Precisión y Eficacia
Nuestro enfoque en técnicas SLOW (Smile, Lip, Oral health, White aesthetic) nos permitió abordar la recesión gingival de manera integral, teniendo en cuenta aspectos clave como la sonrisa del paciente, la salud oral y la estética dental. Esta metodología nos permitió garantizar resultados excepcionales y duraderos para nuestros pacientes.
Resultados Duraderos y Estéticamente Placenteros
Gracias a la precisión de nuestras técnicas y a la calidad de los materiales utilizados, logramos cubrir las áreas afectadas de manera eficaz, restaurando la salud y la estética de la encía del paciente. Además, nuestro enfoque centrado en la protección dental garantizó que los resultados perduraran en el tiempo, brindando al paciente una sonrisa radiante y saludable.
Compromiso con la Excelencia en la Salud Bucal
Este caso de éxito es solo un ejemplo de nuestro compromiso con la excelencia en la salud bucal y nuestra capacidad para ofrecer resultados sobresalientes a nuestros pacientes. En Clínica Colodro, nos enorgullece proporcionar soluciones innovadoras y personalizadas que transforman vidas y generan sonrisas de confianza y felicidad.
Conclusiones: Transformando Vidas, Generando Sonrisas
En conclusión, el caso de éxito de Clínica Colodro en cirugía mucogingival demuestra el impacto positivo que nuestras técnicas avanzadas y nuestro enfoque centrado en el paciente pueden tener en la salud bucal y la calidad de vida. Estamos comprometidos con seguir ofreciendo soluciones de vanguardia que transformen sonrisas y brinden resultados excepcionales a nuestros pacientes.
