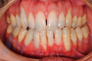
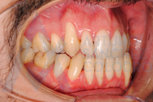
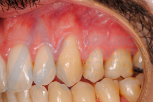
Hoy queremos compartir con vosotros el caso de éxito de un paciente que presentaba recesiones múltiples.
Algunas de las causas que provocan este tipo de recesiones:
- Causas anatómicas
- Sobrecarga oclusal
- Mal oclusiones
- Cepillado excesivo
- Tracción de frenillo o músculos
- Restauraciones subgingivales
- Ortodoncia
- Higiene bucal insuficiente
- Traumatismos, piercings
- Procesos inflamatorios
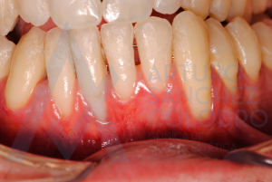
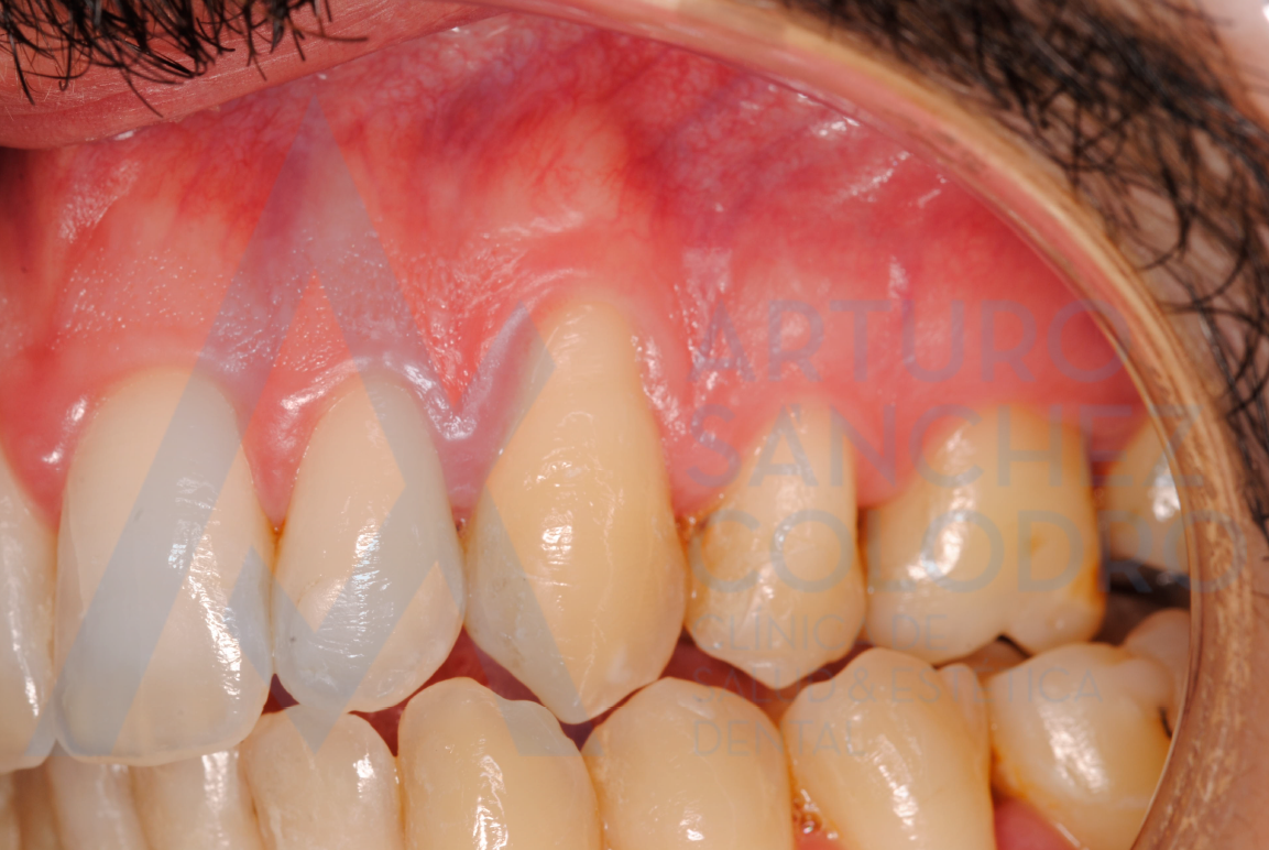
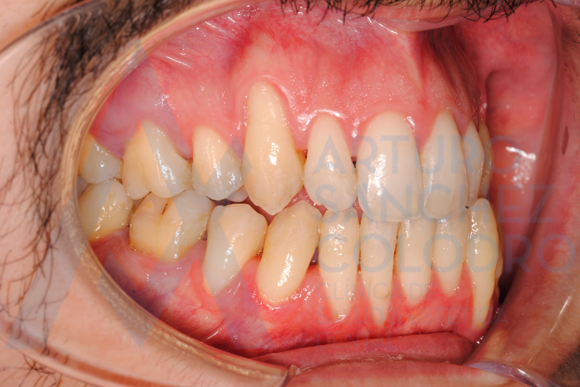
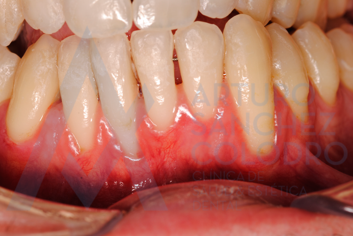
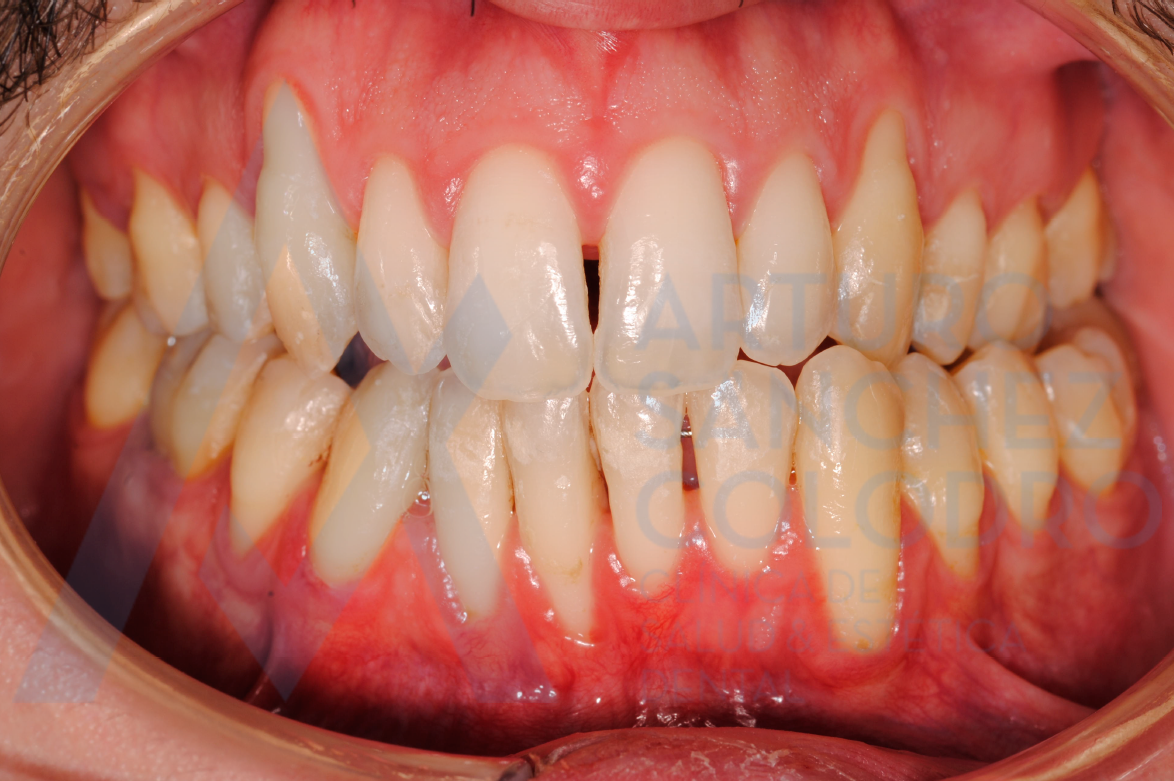
Estas son las imágenes obtenidas de exploración intraoral inicial:
Plan de tratamiento:
- Profilaxis AirFlow y descontaminación periodontal.
- Ajustes oclusales.
- Restablecer LAC (Límite Amelo Cementario).
- Injerto de tejido conectivo libre desepitelizado de paladar + Tunelización para colocación MB Mucogain.
- En sextantes inferiores haremos cirugía plástica mucogingival tras tratamiento de ortodoncia y lingualización pieza 33 para insertar esta pieza dentro del marco oseo y ser más predecible en los resultados de cobertura radicular y aumento de volumen de tejidos blandos, así como una mejora en el patrón oclusal del paciente.
- Mantenimiento periodontal exhaustivo del paciente de forma permanente para control de placa y sangrado y evitar prematuridades en oclusión. Futura férula de descarga.
Aquí puede observarse la colocación de la membrana regenerativa
Tras la cirugía mucogingival realizada por el Dr. Arturo Sánchez Colodro en la primera parte de la boca (paciente aún en fase de tratamiento):
Próximamente compartiremos los resultados de las revisiones a los 30 y 60 días de la intervención de esta zona de la boca. También compartiremos los avances del caso completo.
Recuerda que en nuestra clínica dental de Jaén estamos a tu disposición para cualquier duda relacionada con tu salud o estética dental. ¡Ven a visitarnos o contacta con nosotros!












