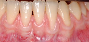
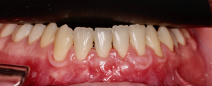
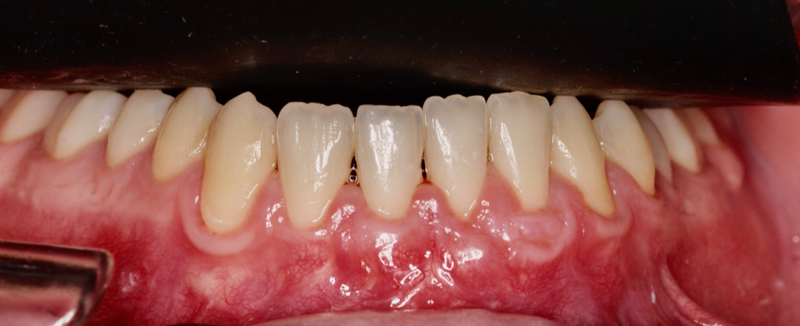
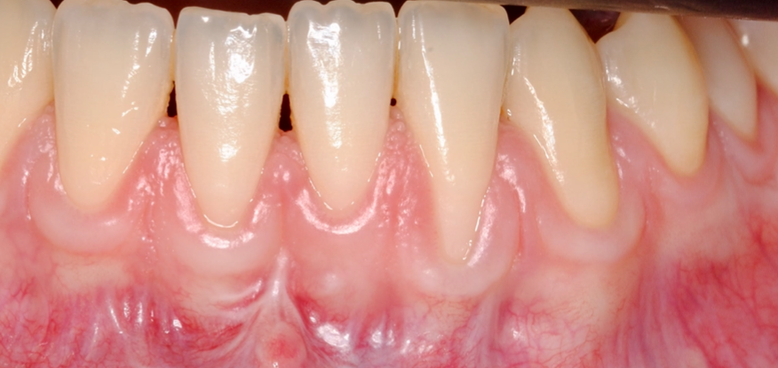
Os enseñamos este nuevo caso el Dr. Arturo Sánchez Colodro en nuestra clínica dental de Jaén, nos muestra un caso donde se puede apreciar con mucha claridad el antes y después de un caso de recesiones inferiores. Este caso ha sido tratado con la última y más avanzada tecnología en digitalización dental.
Exploración intraoral inicial:

Causas:
- Cepillado excesivo
- Tracción de frenillo o músculos
- Causas anatómicas
- Sobrecarga oclusal
- Mal oclusiones
- Procesos inflamatorios
- Traumatismos-piercing
- Higiene bucal insuficiente
- Ortodoncia
- Restauraciones subgingivales
Objetivos:
- Estética dental
- Motivo de consulta
- Estética facial
- Salud periodontal
- Salud articular
- Estabilidad oclusal
Objetivos periodontales:
- Cobertura radicular en recesión pieza 32.
- Mejora de la sensibilidad
- Estabilidad periodontal mejorando el biotipo gingival y aumento banda encía querantizada
Plan de tratamiento:
Profilaxis mediante airflow y descontaminación periodontal.
Ajustes oclusales
Restablecer Lac (límite amelo cementario)
ITC (Injerto tejido conectivo libre desepitelizado de paladar) + tunelización
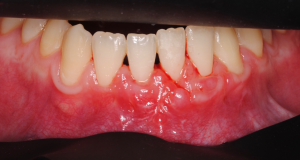
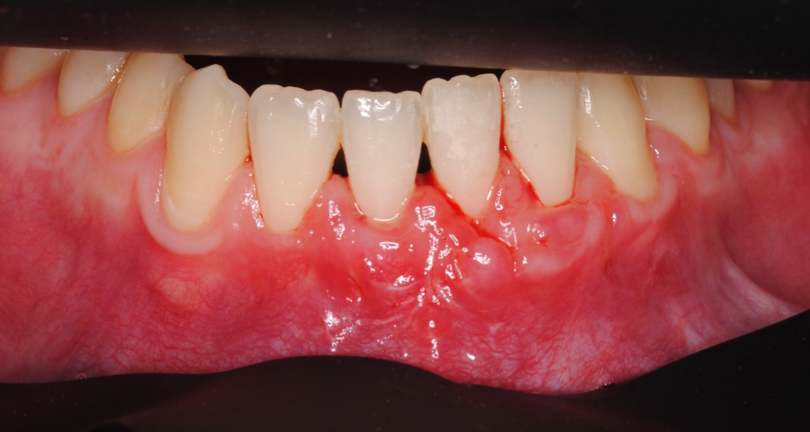
Fotografías del proceso:





