Innovación en ortodoncia invisible: Éxito Clínico con DentalMonitoring
Transformando Sonrisas con Tecnología Innovadora: El Caso de la Dra. Eva Martos
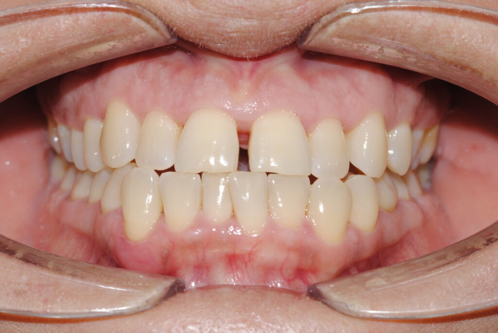
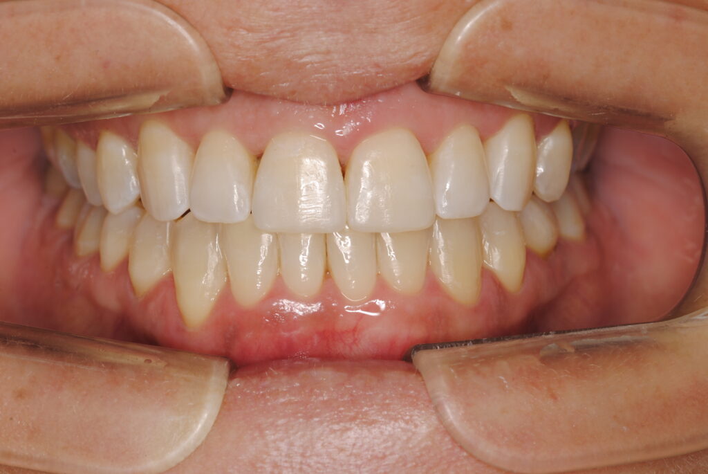
La Dra. Eva Martos ha logrado un hito significativo en su práctica odontológica al completar con éxito un caso gracias a la colaboración de nuestros especialistas y a la innovación tecnológica que ofrecemos. Este logro resalta la importancia de combinar el conocimiento experto con las herramientas más avanzadas para brindar resultados excepcionales a nuestros pacientes.
Ortodoncia Invisible Avanzada: Una Diferencia Marcada por la Tecnología
Nuestra ortodoncia invisible avanzada con escáneres de última tecnología marca la diferencia en el tratamiento ortodóncico. Estos escáneres permiten un nivel de precisión sin precedentes, lo que se traduce en un tratamiento más cómodo y eficaz para nuestros pacientes. La capacidad de visualizar con detalle la estructura dental nos permite diseñar planes de tratamiento personalizados que se ajusten a las necesidades individuales de cada paciente.
Compromiso Más Allá de la Ortodoncia: Sistema de Control desde Casa
Pero nuestro compromiso con la excelencia no se detiene en la consulta. Introducimos un sistema de control desde casa que utiliza la inteligencia artificial de DentalMonitoring para realizar un seguimiento constante de cada paciente. Esta tecnología única nos permite monitorear el progreso del tratamiento de manera remota y en tiempo real. Además, nos alerta sobre cualquier cambio o problema potencial, lo que nos permite intervenir rápidamente y garantizar que los objetivos del tratamiento se cumplan sin contratiempos.
Manteniéndonos un Paso Adelante: Detección Temprana con DentalMonitoring
DentalMonitoring nos proporciona una ventaja significativa al mantenernos un paso adelante en el cuidado dental. Desde la detección temprana de caries hasta la identificación de la pérdida de algún componente estético, esta tecnología nos permite detectar y abordar cualquier problema de manera oportuna y efectiva. Como pioneros en Jaén, estamos orgullosos de ofrecer estas ventajas avanzadas a nuestros pacientes, asegurando que reciban el más alto nivel de atención dental posible.
Confía en Nosotros para Transformar tu Sonrisa
En resumen, en nuestra clínica dental, combinamos la experiencia profesional con la última tecnología en cuidado dental para brindar a nuestros pacientes resultados excepcionales. Desde la ortodoncia invisible avanzada hasta el sistema de control desde casa con DentalMonitoring, estamos comprometidos a transformar sonrisas y mejorar vidas. Confía en nosotros para tu próximo tratamiento dental y experimenta la diferencia que la innovación tecnológica puede hacer en tu salud bucal y tu bienestar general.

