Os enseñamos este nuevo caso del tratamiento de ortodoncia invisible y rehabilitado con carillas estéticas de composite en incisivos laterales tratado por las doctoras Eva martos y Carmen chica en nuestra clínica dental de Jaén, con la última y más avanzada tecnología del mercado.
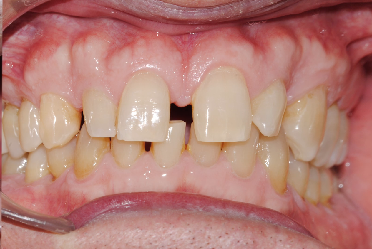
Exploración inicial:
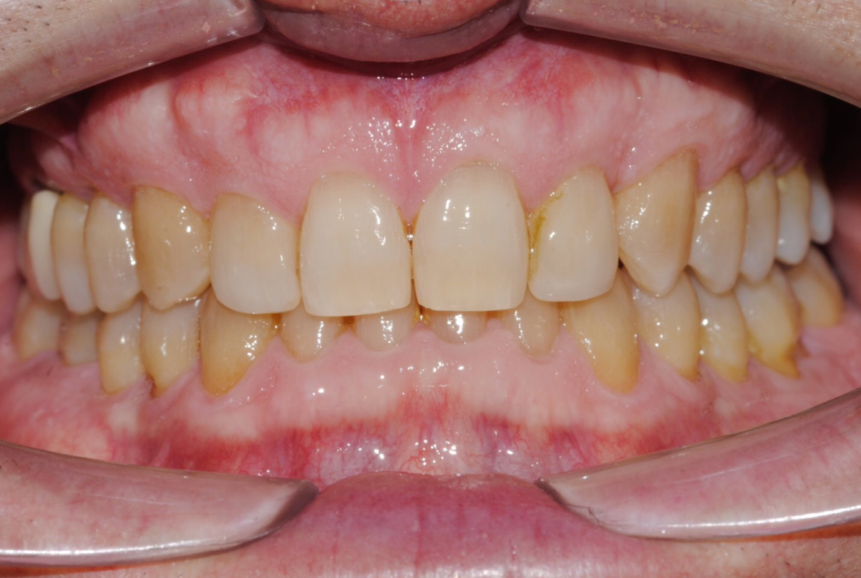
Después
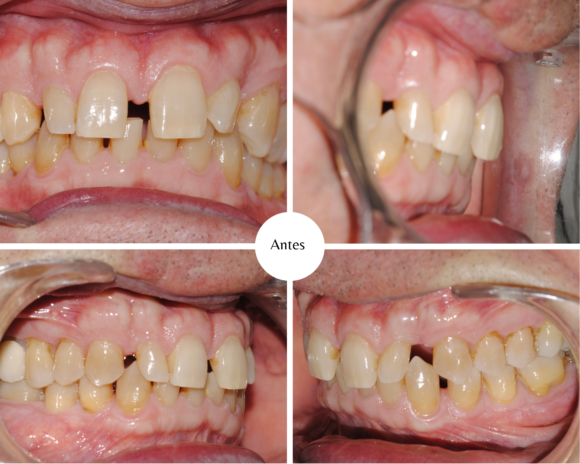
Antes y después:



