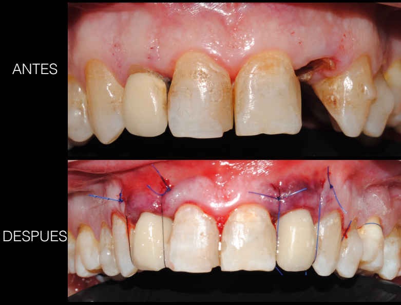
Os enseñamos este nuevo caso el Dr. Arturo Sánchez Colodro en nuestra clínica dental de Jaén, nos muestra un caso donde se puede apreciar con mucha claridad el antes y después de un caso de implantes dentales inmediatos. Este caso ha sido tratado con la última y más avanzada tecnología en digitalización dental.
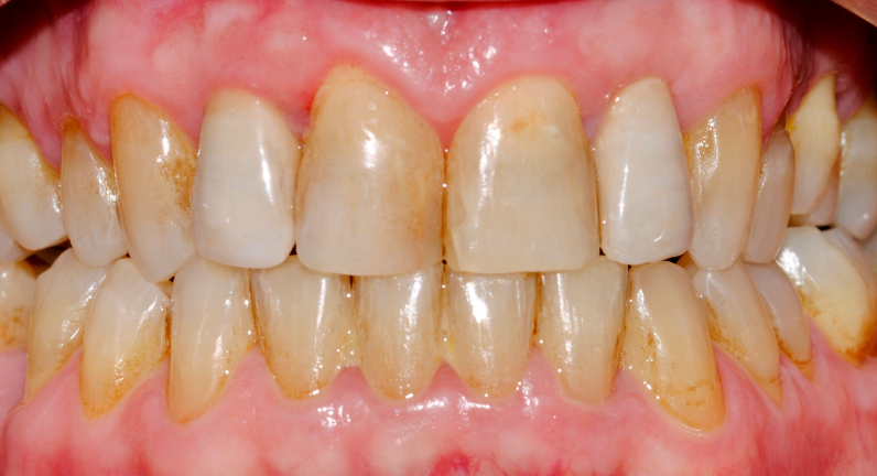
Exploración intraoral inicial:

Causas:
- Causas anatómicas
- Sobrecarga oclusal
- Cepillado excesivo
- Mal oclusiones
- Restauraciones subgingivales
- Ortodoncia
- Higiene bucal insuficiente
- Traumatismos (Piercing)
- Procesos Inflamatorios
- Tracción de frenillo o músculos
Objetivos:
- Estética facial
- Motivo de consulta
- Salud Periodontal
- Salud articular
- Estabilidad oclusal
- Estética Dental
Objetivos periodontales:
- Remodelación de tejidos blandos. Personalización de los provisionales de carga inmediata
- Tratar ausencias antiestéticas mediante implantes inmediatos postextracción en posiciones 12 y 22
- Estabilidad periodontal mediante injerto de tejido conectivo libre de paladar desepitelizado
Plan de tratamiento:
- Profilaxis Airflow y control de indices de placa y sangrado
- Planificación 3D en DTX Studio Nobel Biocare
- Implantes con cirugía guiada Nobel Active Tiultra Inmediatos postextracción en 12 y 22
- ITC (Injerto tejido conectivo libre desepitelizado del paladar )
- Aplicación de ozono y biomaterial oseo creoss
- Personalización provisional de carga inmediata sobre implantes trabajando area critica y subcritica
Fotografías del proceso:




Revisión 1 año:

Resultado del tratamiento:
