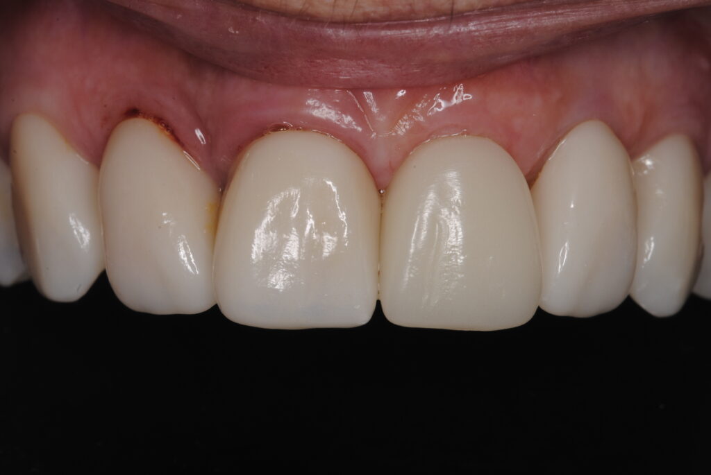
Hoy compartimos un impresionante caso clínico de cirugía guiada, ilustrado con fotos que documentan cada etapa del proceso. En el mismo día, removimos el diente dañado, realizamos injertos de tejido blando y hueso, colocamos el implante y un diente provisional. Como puedes ver en la última foto, el diente provisional se mimetiza perfectamente con los dientes naturales del paciente.
Este procedimiento se llevó a cabo de manera muy controlada y pausada, gracias a la cirugía guiada. Utilizamos una guía quirúrgica protésicamente planificada, que nos permite operar con una precisión excepcional, minimizando cualquier margen de error. Esta técnica es mucho más minuciosa y precisa en comparación con los métodos tradicionales.






La cirugía guiada nos permite ofrecer a nuestros pacientes resultados superiores en términos de estética y funcionalidad, asegurando una integración perfecta y una recuperación rápida. Si deseas conocer más sobre el procedimiento de dientes en un día o tienes alguna pregunta, no dudes en contactarnos. ¡Estamos aquí para ayudarte a lograr la sonrisa que siempre has deseado!