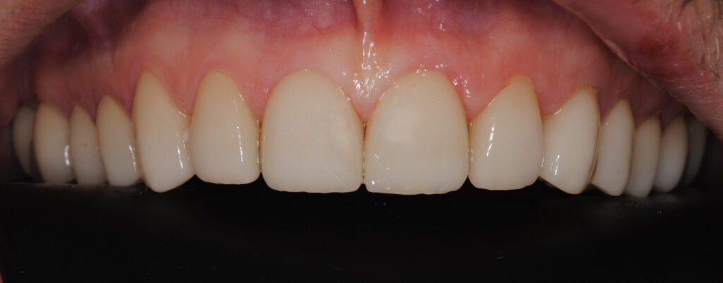
En este post, presentamos un caso complejo y avanzado de un paciente bruxista que había desgastado todos sus dientes. Como se puede apreciar en las fotos del antes, el desgaste severo comprometía tanto la estética como la función dental del paciente. Gracias a la intervención de nuestra especialista en prótesis fija y estética, la Dra. C. Chica, hemos logrado una rehabilitación fija adhesiva con resultados impresionantes.



En las fotos del después, se observa cómo el paciente ha recuperado la altura original de sus dientes, devolviendo no solo la estética perdida, sino también la funcionalidad adecuada. La precisión y el cuidado en cada etapa del tratamiento aseguran una solución duradera y confortable.



La Dra. C. Chica ha demostrado una vez más su habilidad y dedicación en la rehabilitación de casos complejos, proporcionando a nuestros pacientes resultados excepcionales que mejoran su calidad de vida. Si estás buscando una transformación similar, contáctanos y descubre cómo podemos ayudarte a recuperar tu sonrisa.