Os enseñamos este nuevo caso del tratamiento de desgastes oclusales con regularización de los planos incisal y oclusal mediante encerados diagnosticos y técnicas de inyectados con resinas compuestas realizado por la Dra. Carmen Chica y rehabilitación inferior con implantes mediante cirugía guiada tratado en nuestra clínica dental de Jaén, con la última y más avanzada tecnología del mercado.
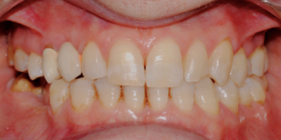
Exploración inicial:
Objetivos:
- Restablecer función oclusal y masticatoria
- Lograr armonía dentofacial
- Restaurar tejido dentario perdido
- Reponer piezas ausentes posteriores
- Estabilidad articular
- Estética y función
Plan de tratamiento:
1. Ortodoncia
2. Pruebas estéticas, mock up y fotos
3. Carillas inyectadas de composite en sectores anteriores y posteriores
4. Incrustación de composite en sectores posteriores
5. Coronas sobre implantes en zonas de piezas ausentes
6. Estabilización al final de tratamiento mediante férula de descarga rígida
Antes y Después:


