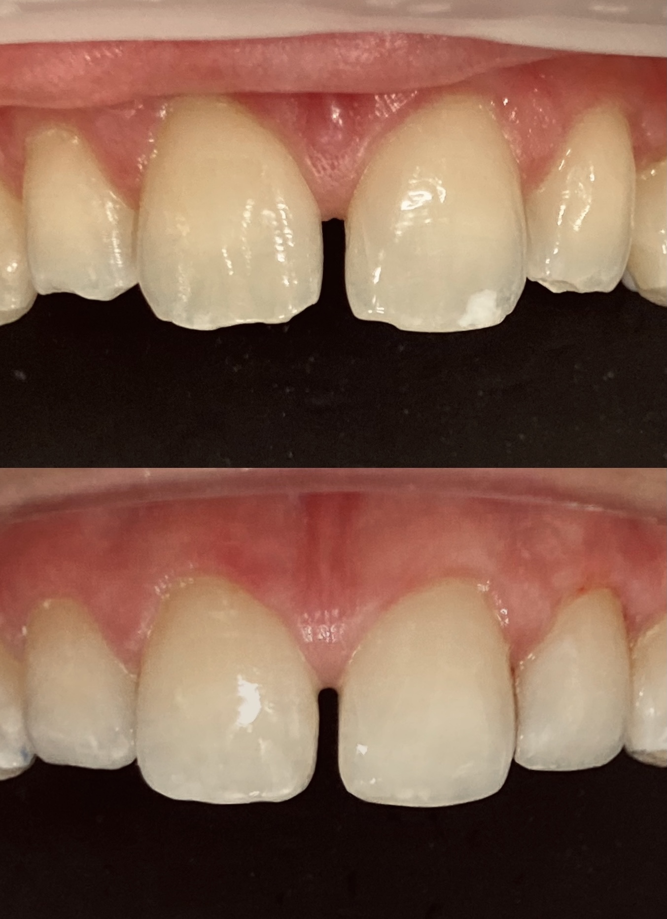
Caso tratado: reconstrucción bordes incisales

Os enseñamos este nuevo caso del tratamiento de reconstrucción bordes incisales por las doctora Carmen Chica en nuestra clínica dental de Jaén, con la última y más avanzada tecnología del mercado.

clínica colodro

Transforma tu manera de vivir la salud dental

Rellena el formulario y reserva tu cita: el cambio empieza hoy.

"*" señala los campos obligatorios

Este campo es un campo de validación y debe quedar sin cambios.
Nombre*
Política de privacidad*