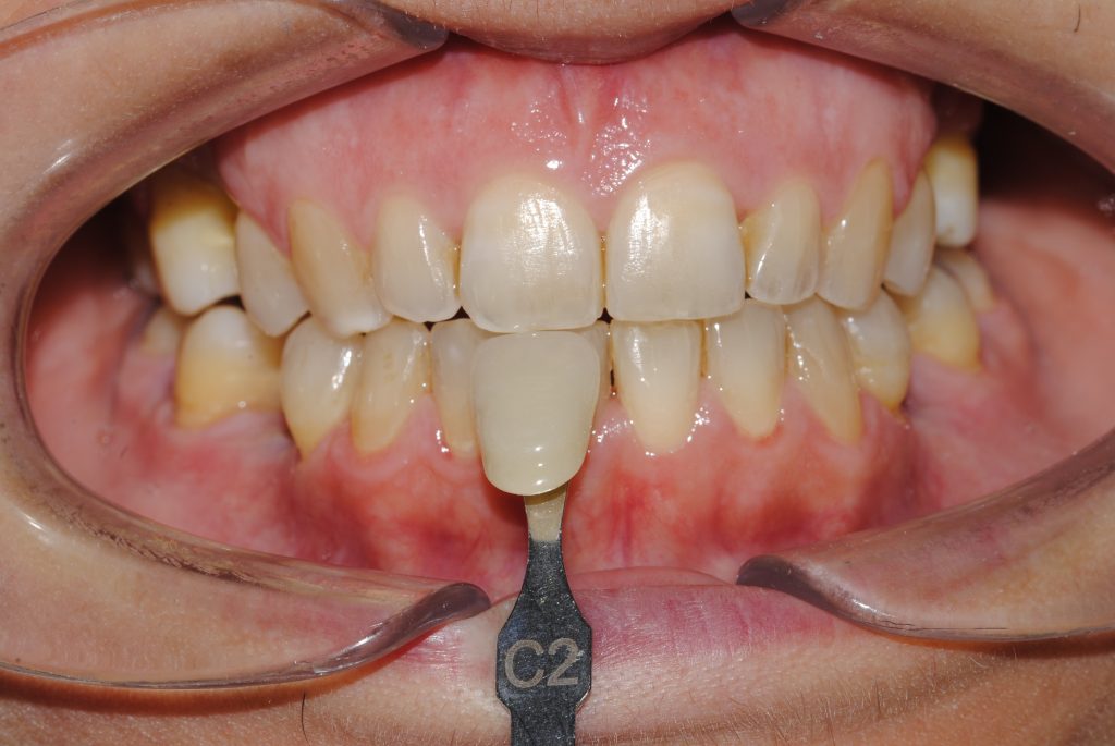
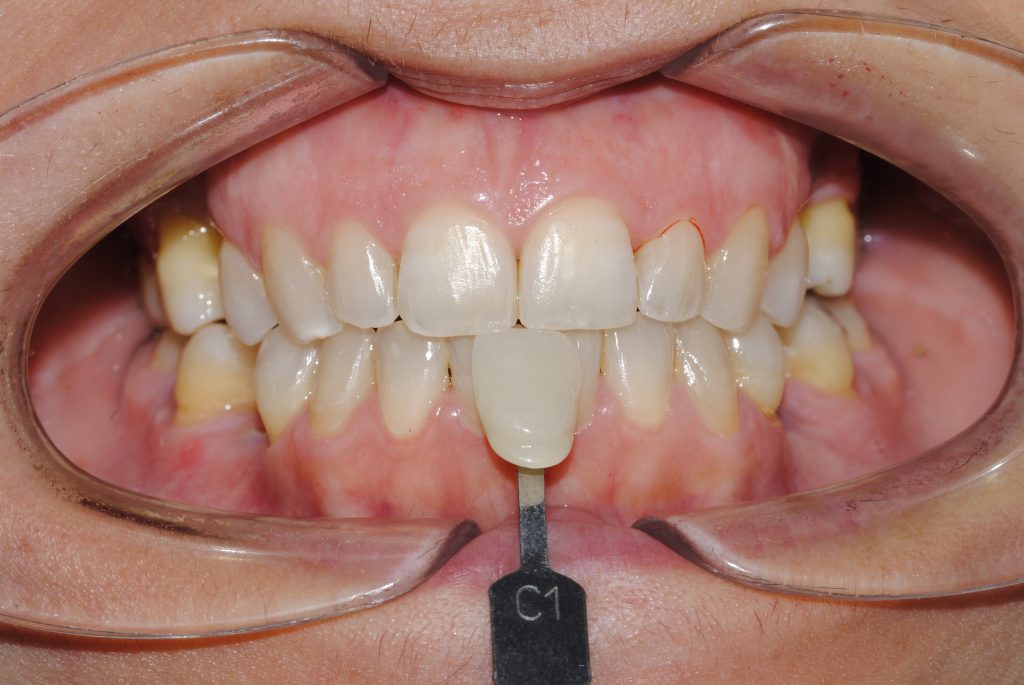
Os enseñamos este nuevo caso el Dr. Arturo Sánchez Colodro en nuestra clínica dental de Jaén, nos muestra un caso donde se puede apreciar con mucha claridad el antes y después de un caso de blanqueamiento dental. Este caso ha sido tratado con la última y más avanzada tecnología en digitalización dental.
Exploración inicial:
Resultado del tratamiento:
Comparativa antes y después:


