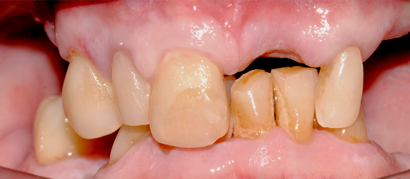
Queremos compartir con vosotros el resultado del caso de un paciente de nuestra clínica dental de Jaén al que se le ha realizado una rehabilitación oral completa combinando implantes colocados mediante cirugía guiada con rehabilitación fija sobre dientes con coronas CAD-CAM y cementación adhesiva.
ANTES

Previamente fueron necesarios tratamiento periodontal para mejorar la calidad de las encías, cirugía de alargamientos coronarios e injertos de tejido conectivo.
Con el paciente se emplearon cargas inmediatas desde el primer día de las cirugías de implantes para cumplir con los requerimientos estéticos y funcionales. Así, se le aportaron dientes provisionales fijos sobre los implantes desde el primer momento.
Para la planificación de este caso, se realizó un estudio exhaustivo utilizando DSD y Mock Up dinámico con fotos y vídeo. En la planificación quirúrgica de los implantes se emplearon los archivos DICOM del CBCT óseo, junto con los archivos STL obtenidos del escaneado intraoral en 3D Trios 3Shape para colocar los implantes protésicamente guiados con el programa DTX Studio de Nobel Guide.
Todo esto permitió llevar a cabo una cirugía de implantes rápida y mínimamente invasiva con carga inmediata.
Tanto el paciente como nosotros quedamos muy satisfechos con el resultado. Conseguimos mejorar notablemente la salud, la estética y la funcionalidad de su boca.
DESPUÉS

