Blog de salud bucodental
Bienvenido al blog de nuestra clínica dental, un espacio dedicado a ofrecerte contenido de calidad sobre salud bucodental, tratamientos innovadores y cuidados para mantener tu sonrisa siempre saludable. Aquí encontrarás artículos actualizados que responden a tus dudas, te informan sobre las últimas técnicas en odontología y te ayudan a tomar decisiones informadas para tu bienestar oral.
¿Por qué seguir nuestro blog?
En nuestro blog combinamos la experiencia profesional con información accesible para todo tipo de pacientes. Cubrimos temas esenciales como implantología guiada, odontología general, ortodoncia invisible, periodoncia y mucho más, siempre enfocados en aportarte valor y soluciones prácticas.
Qué encontrarás en nuestro blog:
Consejos prácticos para la higiene dental diaria
Novedades y avances tecnológicos en tratamientos dentales
Guías detalladas para entender procedimientos como implantes y ortodoncia
Artículos específicos para distintas edades y necesidades
Información sobre colaboraciones y proyectos comunitarios en salud bucal
Además, nuestro blog es una herramienta para pacientes actuales y futuros, donde podrás aclarar dudas comunes, descubrir recomendaciones para prevenir enfermedades bucales y conocer las mejores prácticas para cuidar tu salud dental.
Mantente informado y mejora tu sonrisa con nosotros
Visita regularmente nuestro blog para estar al día con las últimas noticias y consejos de expertos en odontología. Aprovecha nuestros contenidos para mejorar tu salud oral y tomar decisiones acertadas sobre tus tratamientos.
Si tienes alguna pregunta o quieres que abordemos un tema específico, no dudes en contactarnos. Estamos aquí para ayudarte a sonreír con confianza.

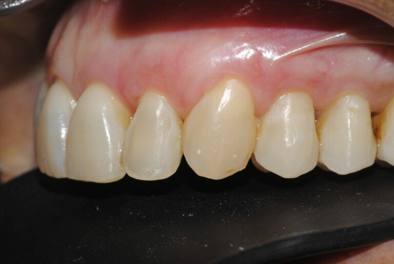
Transformación con cerámicas adheridas | Ortodoncia Jaén
Transformación con cerámicas adheridas | Ortodoncia Jaén En el mundo de la odontología estética, las cerámicas adheridas totalmente cerámicas representan una opción avanzada y altamente

Renovación estética en Colodro Jaén
Renovación estética en Colodro Jaén En la Clínica Arturo Sánchez Colodro, nos complace compartir un emocionante caso de éxito en el campo de la estética

Transformación y juventud renovada en Clínica dental Jaén
Transformación y juventud renovada en Clínica dental Jaén El rejuvenecimiento facial es un aspecto fundamental para aquellos que desean mantener una apariencia juvenil y fresca.

Cirugía Mucogingival en Clínica Colodro Jaén
Cirugía Mucogingival en Clínica Colodro Jaén En la Clínica Dental Colodro, nos enorgullece ofrecer soluciones de vanguardia en odontología, y hoy queremos compartir emocionantes noticias

Implantes dentales vs. puentes y dentaduras
En el mundo de la odontología, la restauración dental es una parte crucial para recuperar la funcionalidad y estética de la sonrisa. Sin embargo, tomar

Cuidado bucal para niños en Clínica Colodro en Jaén
Cuidado bucal para niños ¡Bienvenidos a nuestra clínica dental! Estamos comprometidos con la salud bucal de toda la familia, y sabemos que los niños son
Pide cita ahora
Facilítanos tus datos y te llamaremos para concertar tu primera visita a nuestra clínica dental. Si lo prefieres puedes llamarnos al 630 700 515
"*" señala los campos obligatorios
Publicado en Alejandro Gutiérrez Cardona23/02/2024 Ya he acabado mi tratamiento de invisalign, y ha ido todo genial! Siempre que he tenido algún percance me han atendido en el mismo día y me han ofrecido todo lo necesario. Todos muy profesionales.Publicado en Cristina Partal Escabias23/02/2024 Acabo de iniciar un tratamiento con ellos, buscaba una solución a mi problema que no me daban en otro sitio, de la primera consulta no pude salir más contenta e ilusionada y se que en las siguientes va a ser igual, el trato que tienen con el paciente, la familiaridad, la y la profesionalidad son una maravilla. Recomiendo esta clínica 100%Publicado en Vane Vílchez19/02/2024 He tenido que ir a una consulta de urgencia puesto que mi dentista está de vacaciones y me han atendido de 10 viniendo de otro dentista. Instalaciones nuevas, buen ambiente y sus trabajadoras muy simpáticas y agradables, sin duda volvería a repetir otra vez.Publicado en Jose anguita jimenez16/02/2024 Alucinante , el trabajo y la profesionalidad de toda la clínica dental , os recomiendo poneros en manos de estos profesional y expertos en ortodoncia , cirugía y estética dental , un abrazo a tod@sPublicado en Trini Alvarez Navarro09/02/2024 Buenos profesionales y muy atentos con los pacientes 🥰Publicado en Leticia Martinez08/02/2024 Súper agradables los chicos que me han atendido tanto el de recepción como la dentista, trato inmejorable poca espera, en general todo muy bien.Publicado en Dario Chica Ramiro19/01/2024 Yo me he realizado un tratamiento de implante guiado y estoy súper contento con el resultado. Son unos excelentes profesionales, trato magnífico y calidad humana.