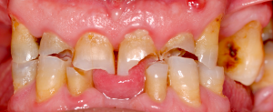
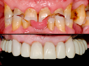
Os enseñamos este nuevo caso el Dr. Arturo Sánchez Colodro en nuestra clínica dental de Jaén, nos muestra un caso donde se puede apreciar con mucha claridad el antes y después de un caso de éxito.
Exploración intraoral inicial:
- Cepillado excesivo
- Tracción de frenillo o músculos
- Causas anatómicas
- Sobrecarga oclusal
- Mal oclusiones
- Procesos inflamatorios
- Traumatismos-piercing
- Higiene bucal insuficiente
- Ortodoncia
- Restauraciones subgingivales
Objetivos:
- Estética dental
- Motivo de consulta
- Estética facial
- Salud periodontal
- Salud articular
- Estabilidad oclusal
Objetivos periodontales:
- Remodelación tejidos blandos. Personalización de los provisionales de carga inmediata.
- Tratar ausencias de antiestéticas mediante implantes inmediatos postextracción y regeneración ósea.
- Estabilidad periodontal mediante injerto de tejido conectivo libre de paladar desepitelizado
Plan de tratamiento:
-
Profilaxis mediante airflow y control de índices de placa y sangrado.
-
Planificación 3d en DTX STUDIO NOBEL BIOCARE
-
Quistectomía y apicectomías de R.O.G y factores de crecimiento e implantes de última generación a baja revolución y con fresado biológico con nueva superficie tiultra inmediatos postextracción.
-
ITC (Injerto tejido conectivo libre desepitelizado).
- Aplicación de Ozono y biomaterial óseo y membrana de colágeno a nivel de la zona crítica de los implantes.
- Personalización provisional de carga inmediata trabajando el área crítica y subcrítica.
ANTES Y DESPUÉS:

